DOI: https://doi.org/10.37811/cl_rcm.v8i1.10104

Caso Clínico: Enfermedad de Carrión – Bartonelosis

 

Jorge Guapulema [1]

jegodoc@gmail.com

https://orcid.org/0000-0002-0327-9815 

Clínica Hospital Municipal

Julia Esther Gonzales Delgado

Hospital Santa Inés

Loja - Ecuador

 

Erika Cabrera

erikita12233@gmail.com

https://orcid.org/0000-0002-6082-0591

Hospital Santa Inés

Loja - Ecuador

 

Josselyn Chalán

chalandayana19@gmail.com 

https://orcid.org/0000-0002-6678-0893

Clínica Hospital Municipal

Julia Esther Gonzales Delgado

Loja - Ecuador

 

María José Vega

majitov.1594@gmail.com

https://orcid.org/0000-0001-7475-2457

Hospital Santa Inés

Loja - Ecuador

 

Karen Sarango

karensarango1@gmail.com

https://orcid.org/0000-0003-0032-0584 

Universidad Técnica

Particular de Loja -Ecuador

 

 

RESUMEN

Introducción: La enfermedad de Carrión, ha sido descrita en las zonas de la costa y sierra de Ecuador. El vector implicado en la transmisión de Bartonella bacilliformis es la Lutzomyia  spp., y los humanos son el único reservorio conocido de la enfermedad. En anteriores publicaciones se informaron casos esporádicos de fiebre de Oroya en los valles montañosos de la provincia de Zamora-Chinchipe en la frontera con Perú. La provincia de Loja es una región montañosa que limita al sur con la provincia de Piura en Perú y al oeste con la provincia de Zamora-Chinchipe en Ecuador, donde la fiebre e Oroya ha ocurrido en el pasado. Presentación caso: Paciente masculino de 61 años de edad, diabético tipo II, que ha viajado en las últimas semanas a Zumba. Acude a consulta en una casa de salud privada por un cuadro de 5 días de evolución, presentando piel pálida, conjuntivas pálidas, adenopatías retroauriculares, no dolorosos, abdomen doloroso a la palpación en epigastrio y marco colónico izquierdo, esplenomegalia. Región axilar: ganglio axilar aumentado de tamaño, doloroso a la palpación.  Resto del examen físico sin alteraciones. En la evolución se evidenció mejoría tanto en patrones clínicos como bioquímicos; se instauró el tratamiento antibiótico específico, y luego de 6 días, es dado de alta.

 

Palabras clave: reporte de caso, Ecuador, Amazonía, bartonelosis, diabetes tipo II


 

Clinical Case: Carrión Disease – Bartonellosis

 

ABSTRACT

Introduction: Carrión's disease has been described in the coastal and mountain areas of Ecuador. The vector involved in the transmission of Bartonella bacilliformis is Lutzomyia spp., and humans are the only known reservoir of the disease. In previous publications, sporadic cases of Oroya fever were reported in the mountain valleys of the province of Zamora-Chinchipe on the border with Peru. The province of Loja is a mountainous region bordered to the south by the province of Piura in Peru and to the west by the province of Zamora-Chinchipe in Ecuador, where Oroya fever has occurred in the past.

Case presentation: 61-year-old male patient, type II diabetic, who has traveled to Zumba in recent weeks. He went to a private health center for a 5-day history of pale skin, pale conjunctivae, non-painful retroauricular lymphadenopathy, painful abdomen on palpation in the epigastrium and left colonic framework, and splenomegaly. Axillary region: enlarged axillary lymph node, painful on palpation. Rest of physical examination without alterations. In the evolution, improvement was evident in both clinical and biochemical patterns; Specific antibiotic treatment was instituted, and after 6 days, he was discharged.

 

Keywords: case report, Ecuador, amazon, bartonellosis, type II diabetes

 

Artículo recibido 29 diciembre 2023

Aceptado para publicación: 30 enero 2024

 

 

 


 

INTRODUCCIÓN

La enfermedad de Carrión en América del sur, ha sido descrita  en las zonas de la costa y sierra de Ecuador. El vector implicado en la transmisión de Bartonella bacilliformis es la hembra del mosquito del género Lutzomyia  spp., y los humanos son el único reservorio conocido de la enfermedad; encontrándose que los pacientes con lesiones eruptivas eran el principal reservorio de la enfermedad: en un  estudio se demostró que el 23% de los pacientes tuvieron cultivos positivos y PCR para la Bartonella bacilliformis en la sangre y solo 0,7% en personas asintomáticas. Es así que se conoce que la infección inicial (fiebre de Oroya) por lo general resulta en una invasión extensa de eritrocitos, es causante de fiebre, bacteriemia y anemia hemolítica grave. Esto es típicamente seguido por una fase cutánea crónica (verruga peruana) con invasión secundaria de las células endoteliales que revisten los vasos sanguíneos y capilares y la aparición de lesiones cutáneas vascularizadas. Otras formas de enfermedad incluyen enfermedad febril leve, verruga peruana en ausencia de fiebre de Oroya o infección asintomática. La presentación de la infección por Bartonella bacilliformis varía desde una infección subclínica hasta una enfermedad aguda severa o desarrollo insidioso de tumores vasculares en piel, generalmente sin síntomas asociados. Se describen dos fases: anémica y eruptiva, con un periodo asintomático intercalar.  Fase anémica: de inicio brusco o insidioso, es la forma de presentación más grave, con un porcentaje de letalidad del 40% sin tratamiento oportuno, un periodo de incubación de 61 días (10-210 días). Los síntomas son variados, desde un proceso infeccioso general (fiebre, malestar general, hiporexia), desarrollando posteriormente anemia severa por hemólisis, ictericia, hepatomegalia, linfoadenomegalia. Se asocian infecciones oportunistas por agentes diversos. La fase aguda dura aproximadamente de 2 a 4 semanas, donde la mayoría de los pacientes atendidos se recupera y menos de 5% desarrolla lesiones eruptivas después de algunas semanas. Fase intercalar: se detiene la hemólisis, y se presenta mejoría con desaparición de síntomas y signos, duración de 1-3 semanas (hasta meses). Fase eruptiva: la fase eruptiva clásicamente se presenta en la población pediátrica de áreas endémicas, sin que hayan tenido un cuadro típico de fase aguda; en ocasiones se acompaña de: artralgias, malestar general leve, cefalea, prurito y sangrado de las lesiones eruptivas o más frecuentemente en forma asintomática. Las lesiones afectan piel y mucosas de la boca, nariz y fosas nasales; no se han detectado en vísceras. Éstas son de superficie lisa, no dolorosas, de color rojo púrpura o rojo violáceo y pueden sangrar fácilmente, pueden ser de tres tipos: 1. Miliar, verrugas pequeñas de menos de 3 mm de diámetro. 2. Mular, verrugas de más de 5 mm, sésiles, erosionadas y muy sangrantes. 3. Nodular, en superficies extensoras de brazos y piernas, generalmente múltiples. Sin tratamiento, esta fase dura de cuatro a seis meses y no deja cicatriz.

Históricamente, la enfermedad de Carrión es endémica en los valles montañosos interandinos de Perú́, Ecuador y Colombia en elevaciones de 600 a 3200 metros sobre el nivel del mar (MSN), las infecciones con B. bacilliformis ocurren en elevaciones más bajas en las tierras bajas costeras y Amazonas en estos países, lo que sugiere que otras especies de Lutzomyia también pueden estar involucradas en la transmisión. Previamente, L. maranonensis y L. robusta fueron reportadas como vectores potenciales de la enfermedad de Carrión en la región Oriental del Marañón en Perú, durante un brote de la enfermedad de Carrión en el Valle de Urubamba en Perú́ en 1997, se encontró́ que el 1% de las L. peruensis atrapadas estaban infectadas naturalmente con B. bacilliformis. Recientemente, B. bacilliformis fue confirmado en L maranonensis en la provincia de Cajamarca en el norte de Perú por PCR. L. maranonensis está presente en Ecuador principalmente en la región andina y parecería un vector probable para transmitir B. bacilliformis ya que tanto L. verrucaram como L. peruensis están ausentes en Ecuador. Otras especies de Lutzomyia encontradas en Ecuador que también pueden ser vectores potenciales de la enfermedad de Carrión incluyen L. robusta, L. serrana y L. ayacuchensis. L. ayacuchensis se encuentra en las tierras bajas costeras de la provincia de Manabí y entre 650 y 2500 msnm en las provincias andinas de Pichincha, Chimborazo y Azuay. L. robusta es una especie andina que se encuentra en la provincia de Zumba, mientras que su variante o especie estrechamente relacionada L. serrana se reporta en la provincia costera de Manabí. Aunque varias especies de Lutzomyia se encuentran en regiones de Ecuador donde se ha informado infección por B. bacilliformis, se necesitan más estudios para identificar inequívocamente el vector o vectores de la enfermedad de Carrión allí.

La enfermedad de Carrión está bien documentada en Perú, pero en Ecuador ha habido pocos informes publicados. Anteriormente se informaron casos esporádicos de fiebre de Oroya en los valles montañosos de la provincia de Zamora-Chinchipe en la frontera con Perú, y se documentó verruga peruana en las provincias costeras de las tierras bajas de Manabí y Guayas en la costa del Pacífico de Ecuador. La provincia de Loja es una región montañosa que limita al sur con la provincia de Piura en Perú y al oeste con la provincia de Zamora-Chinchipe en Ecuador, donde la fiebre e Oroya ha ocurrido en el pasado.

Presentación del caso

Paciente masculino de 61 años de edad con antecedente de diabetes mellitus en tratamiento con linagliptina 5mg (trayenta),  residente en la ciudad de Loja, ha viajado en las últimas semanas al Oriente – Zumba. Acude a consulta en una casa de salud privada por un cuadro de 5 días de evolución, refiere dolor abdominal de moderada intensidad en epigastrio e hipocondrio derecho acompañado de  malestar general, alza térmica no cuantificada de predominio nocturno que cedía parcialmente con toma de antipiréticos el cuadro se acompaña de  deposiciones blandas de 15 a 20 aproximadamente al día de características  melenicas se automedica con benzoparegorica sin mejoría del cuadro. Tres días antes del ingreso presentó náuseas, vómitos, palidez e ictericia.

Al examen físico signos vitales: Tensión arterial: 120/60 mmHg, frecuencia cardiaca: 76 latidos/min, temperatura: 36.4°C, frecuencia respiratoria: 21 respiraciones/min, saturación de oxígeno de 96%, Peso: 84 Kg. Paciente consciente, orientado, Glasgow: 15/15. Piel: pálida, conjuntivas pálidas. Cuello: adenopatías retroauriculares, blandos, no dolorosos. Abdomen: suave, depresible, doloroso a la palpación en epigastrio y marco colónico izquierdo, esplenomegalia. Región axilar: ganglio axilar aumentado de tamaño, doloroso a la palpación.  Resto del examen físico sin alteraciones.

Figura 1.  Fotografía de las lesiones dérmicas del Paciente causada por B. bacilliformis en pie.


 

Figura 2. Fotografía de las lesiones dérmicas del Paciente en el brazo causada por B. bacilliformis – tipo nodular, en superficies extensoras de brazos y, generalmente múltiples.

Dentro de los exámenes de laboratorio, al ingreso: Hb: 5.4 mg/dL, plaquetas: 169000 uL, glucosa: 146.25 mg/dL, segmentados: 9.92%, GEN ribC Bartonella spp: Positivo (este resultado llego el 2 de diciembre 2022 tecnica pcr y es posible que sea bartonella clarridgeiae, esta bacteria Bartonella Clarridgeiae afecta principalmente a perros y gatos causando bartonelosis o enfermedad por arañazo de gato), reticulocitos: 2,16%, test de Coombs directo negativo. Anticuerpos hepatitis C no reactivo. Antígeno de superficie hepatitis B no reactivo. Perfil coagulación normal. Electrolitos seriados dentro de límites normales.

En la radiografía de tórax se informó engrosamiento pleural apical derecho e imágenes reticulares en pulmón derecho a predominio de ápice (probablemente debido a secuela de proceso inflamatorio previo); posteriormente, las baciloscopías para tuberculosis pulmonar en esputo seriado dieron resultados negativos en tres ocasiones.

En su segundo y tercer día de hospitalización presentó alza térmica cuantificada (37 a 38 °C), y cefalea de moderada intensidad. En sus 5 días de  hospitalización se observó palidez marcada; en la tabla 1 se evidencia caída marcada y resistente de los niveles de hemoglobina, llegando a nivel de anemia severa (Hg: 5 g/dL), duplicación de los niveles leucocitarios en solo un día (leucocitosis severa) con desviación izquierda. Dado que el paciente presentó fiebre, palidez marcada y dolor abdominal en hipocondrio derecho, se sospecha un proceso infeccioso general y se plantean los diagnósticos diferenciales de enfermedad de Carrión (procedía de Zumba) y colangitis aguda, por ello, se envían muestras de sangre a los laboratorios, que resultaron positivas para Bartonella bacilliformis en coloración Giemsa y se realizó Frotis de sangre periférica, que reporta: blastos 0%, mielocitos 07%, promielocitos 05%, metamielocitos 08%, neutrófilos: cayados 06%, segmentados 10%,  eosinófilos 29%, basófilos 01%, linfocitos 27%, monocitos 07%, se observa en la serie eritrocítica hipocromia anisocitocis leve y serie plaquetaria normal.

Tabla 1. Características laboratoriales seriadas de hemogramas y perfil hepático.

 

Ingreso

(22-11-2022)

Día 2

(23-11-2022)

Día 3

(24-11-2022)

Día 4

(25-11-2022)

Día 5

(27-11-2022)

Día 6

(28-11-2022)

Hemoglobina

5.4

5.2

5

5.4

5.8

6.4

Hematocrito

15.2

14.9

14.6

16.5

18

6.09

Segmentados

9.92%

61.4%

58.2%

61.3%

59%

61%

Plaquetas

169

204

234

275

325

332

Urea

37.7

 

 

 

 

 

Creatinina

0.90

 

 

 

 

 

Glucosa

146.25

 

 

 

 

 

B. Indirecta

0.30

 

 

 

 

 

Reticulositos

2.16

 

 

 

 

 

TGO

30.8

 

 

 

 

 

TGP

43.5

 

 

 

 

 

Sodio

132

 

 

 

 

 

PCR Bartonella

GEN ribC Bartonella spp. POSITIVO

 

 

 

 

 

 

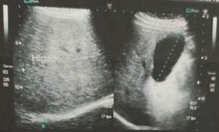
Se realizó exámenes de imagen en donde en la ecografía de abdomen superior se reporta: hígado aumento de ecogenicidad en relación a esteatosis hepática leve, bazo de tamaño y aspecto normal

Figura 3. Ecografía abdominal: hígado aumento de ecogenicidad.


 

Figura 4. Ecografía abdominal: bazo de tamaño y aspecto normal.

En la evolución se evidenció mejoría tanto en patrones clínicos como bioquímicos (tabla 1) ascendiendo gradualmente. Para el tratamiento inicial se utilizó antibiótico Ceftriazona en dosis de 1 gramo cada 12 horas por 10 días,  y ciprofloxacina 400mg iv cada 12 horas, (se iba a utilizar esquema ceftriazona/claranfenicol pero este último no se encontró) a los 6 días de hospitalizado es dado de alta del servicio de medicina interna. Para el alta se manejó con Doxicilina 100mg vía oral cada 12 horas por 10 días más Ciprofloxacina 500mg cada 12 horas por 9 días.

Diagnósticos de ingreso

Anemia normocitica normo crómica- Bartonelosis.

Hemorragia Digestiva Alta El paciente expresó de manera verbal su autorización para emplear sus datos clínicos en la elaboración de esta comunicación.

CONCLUSIONES

La Bartonelosis o enfermedad de Carrión es una enfermedad infecciosa de rara presentación en nuestro país con muy pocos puntos epidemiológicos; por tal motivo el índice de sospecha clínica tiene que ser alto.

La relevancia de una buena anamnesis y examen físico, combinado con un adecuado interrogatorio y su relación con la epidemiología de la región y país permite una aproximación precisa y terapéutica con pronósticos favorables.

La necesidad de mantener un adecuados sistema de vigilancia epidemiológica fortalece el proceso de diagnóstico de enfermedades de notificación inmediata o como el presente de enfermedades infecciosas raras o de escasa prevalencia

Este es un caso por la picadura del mosquito trasmisor de la Enfermedad de Carrión – Bartonelosis, encontrándose en la Amazonía ecuatoriana que presentó síntomas de anemia severa manejada con antibiótico. Recomendamos al personal de salud estar alertas antes estos casos pocos frecuentes, pero que a su vez se encuentran en las selvas tropicales y saber diferenciar la sintomatología con otras enfermedades para un diagnóstico oportuno y tratamiento correcto. Además, la notificación en los registros del subsistema de vigilancia SIVE-ALERTA debería ser obligatoria.

Aspectos éticos

Previo a realizar el presente estudio de caso, el paciente expresó de manera verbal su autorización voluntaria para emplear sus datos clínicos en la elaboración de esta comunicación, respetando las normas de bioética y protección de identidad.

REFERENCIAS BIBLIOGRAFICAS

1.       Krügel, M., Król, N., Kempf, V. A. J., Pfeffer, M., & Obiegala, A. (2022).Emerging rodent-associated Bartonella: a threat for human health?. Parasites & vectors, 15(1), 113. https://doi.org/10.1186/s13071-022-05162-5

2.       Gomes, C., & Ruiz, J. (2017). Carrion's Disease: the Sound of Silence. Clinical microbiology reviews, 31(1), e00056-17. https://doi.org/10.1128/CMR.00056-17

3.       Garcia-Quintanilla, M., Dichter, A. A., Guerra, H., & Kempf, V. A. J. (2019).Carrion's disease: more than a neglected disease. Parasites & vectors, 12(1),141. https://doi.org/10.1186/s13071-019-3390-2

4.       Álvarez-Fernández, A., Breitschwerdt, E. B., & Solano-Gallego, L. (2018).Bartonella infections in cats and dogs including zoonotic aspects. Parasites& vectors, 11(1), 624. https://doi.org/10.1186/s13071-018-3152-6

5.       Pons, M. J., Gomes, C., Aguilar, R., Barrios, D.A., Ruiz, J., Dobaño, C., Del Valle-Mendoza, J., & Moncunill, G. (2017).Immunosuppressive and angiogenic cytokine profile associated with Bartonella bacilliformis infection in post-outbreak and endemic areas of Carrion's disease in Peru. PLoS neglected tropical diseases, 11(6), e0005684.

6.       Minnick, M. F., Anderson, B. E., Lima, A., Battisti, J. M., Lawyer, P. G., & Birtles,R. J. (2014). Oroya fever and verruga peruana: bartonelloses unique to SouthAmerica. PLoS neglected tropical diseases, 8(7), e2919. https://doi.org/10.1371/journal.pntd.0002919

7.       Battisti, J. M., Lawyer, P. G., & Minnick, M. F. (2015). Colonization of Lutzomyia verrucarum and Lutzomyia longipalpis Sand Flies (Diptera: Psychodidae) by Bartonella bacilliformis, the Etiologic Agent of Carrión's Disease. PLoS neglected tropical diseases, 9(10), e0004128. https://doi.org/10.1371/journal.pntd.0004128

8.       Ulloa, G. M., Vásquez-Achaya, F., Gomes, C., Del Valle, L. J., Ruiz, J., Pons, M.J., & Del Valle Mendoza, J. (2018). Molecular Detection of Bartonella bacilliformis in Lutzomyia maranonensis in Cajamarca, Peru: A New Potential Vector of Carrion's Disease in Peru?. The American journal of trCheslock, M.A., & Embers, M. E. (2019). Human Bartonellosis: An Underappreciated Public Health Problem?. Tropical medicine and infectious disease, 4(2), 69. https://doi.org/10.3390/tropicalmed4020069  

9.       Cheslock, M. A., & Embers, M. E. (2019). Human Bartonellosis: AnUnderappreciated Public Health Problem?. Tropical medicine and infectious disease, 4(2), 69. https://doi.org/10.3390/tropicalmed4020069

10.   Sacristán, C., Neves, C. G., Suhel, F., Sacristán, I., Tengs, T., Hamnes, I. S., Madslien. K., (2021) Bartonella spp. detection in ticks, Culicoides biting midges and wild cervids from Norway. Transboundary and Emerging Diseases 68:2, pages 941-951.

11.   Lydy, S., Lascano, M. S., García, J. E., Williams, A. J., Grivalja, M. J., (2018) Seroprevalence and risk factors for infection with Bartonella bacilliformis in Loja province, Ecuador, Emerging Microbes & Infections, 7:1, 1-10, DOI: https://doi.org/10.1038/s41426-018-0110-5 

12.   Urbano-Pulido D, Camacho-Moreno G, López-Cubillos JF, et al. Enfermedad por arañazo de gato. Una patología emergente. Revisión de la literatura. Rev Latin Infect Pediatr. 2022;35(4):151-154. Doi: https://doi.org/10.35366/109408 .



[1] Autor principal

Correspondencia: jegodoc@gmail.com