El Veneno de Sapo de la Caña Rhinella Marina, Anura: Bufonidae Provoca Daño en el Intestino Delgado en Ratones CD1

 

Carlos Ángel Gallardo-Casas[1]

cgallardoc@ipn.mx

https://orcid.org/0000-0002-3532-0149

Centro de Estudios Científicos y Tecnológicos

Número 6 Miguel Othón de Mendizabal

Instituto Politécnico Nacional

México

Irving Moisés González Garcia

gogifree2010061289@gmail.com

https://orcid.org/0009-0009-9997-0050

Centro de Estudios Científicos y Tecnológicos

Número 6 Miguel Othón de Mendizabal

Instituto Politécnico Nacional

México

 

Hugo Alberto Sánchez Maldonado

alberto_sm93@hotmail.com

https://orcid.org/0000-0003-0873-9646

Universidad de Chalcatongo

Sistema de Universidades Estatales de Oaxaca

México

Nayelly Gabriela Jiménez Sánchez

ngjimenezs@ipn.mx

Centro de Estudios Científicos y Tecnológicos

Número 6 Miguel Othón de Mendizabal Instituto Politécnico Nacional

México

 

Jorge Daniel Olea Vázquez

olea77daniel@gmail.com

Centro de Estudios Científicos y Tecnológicos

Número 6 Miguel Othón de Mendizabal Instituto Politécnico Nacional

México

 

 

 

RESUMEN

Objetivo. Describir el daño celular que provoca el veneno de Rhinella marina en el intestino delgado en un modelo murino. Métodos. Se realizó un ensayo para determinación de la LD50, y posteriormente 16 ratones machos CD1 con un peso aproximado entre 20 y 25 gramos.  se dividieron aleatoriamente en dos grupos de 8 ratones cada uno. a) Control que recibió aceite de maíz (vehículo) vía intragástrica b) Intoxicado con 250 mg/Kg del veneno vía intragástrica, a las 74 horas se sacrificaron los animales y se obtuvo la primera parte del intestino delgado para su análisis histológico y evaluación de la lipoperoxidación. Resultados. Se observó en el grupo intoxicado a diferencia del control, un aumento de la lipoperoxidación, atrofia de las microvellosidades y leucocitosis de la submucosa. Conclusión. El veneno de sapo Rhinella marina, produce daño, inflamación y peroxidación del intestino delgado, lo cuál está relacionado con las alteraciones digestivas que se ha observado cuando algunos animales sobre todo perros y gatos lo ingieren por accidente.

 

Palabras clave: rhinella marina; intoxicación por veneno de sapo; daño intestinal

Cane toad Rhinella Marina Venom Causes Small Intestine Damage in CD1 Mice

 

ABSTRACT

Objective. Describe cellular damage caused by Rhinella marina venom in the small intestine in a murine model. Methods. A test was carried out to determine the LD50, and subsequently 16 male CD1 mice weighing approximately between 20 and 25 grams were randomly divided into two groups of 8 mice each. a) Control that received corn oil (vehicle) Ig. b) Intoxicated with 250 mg/Kg of the poison ig. After 74 hours, the animals were sacrificed and the first part of the small intestine was obtained for histological analysis and evaluation of lipoperoxidation. Results. An increase in lipoperoxidation, microvilli atrophy and submucosal leukocytosis was observed in the intoxicated group, unlike the control group. Conclusion. Rhinella marina toad venom causes damage, inflammation and peroxidation of the small intestine. This is related to the digestive alterations that have been observed when some animals, especially dogs and cats, ingest it by accident.

 

Keywords: Rinella marina; toad venom poisoning; intestinal damage

 

 

 

Artículo recibido 20 septiembre 2023

Aceptado para publicación: 28 octubre 2023


 

INTRODUCCIÓN

Rhinella marina (sapo de la caña) es considerado unos de los anfibios de hábitos terrestres de mayor tamaño en América, con una distribución mundial; aunque con mayor abundancia en áreas de clima tropical y húmedo (Acevedo et al. 2016). Esta especie es nativa de América con amplia distribución que va desde el sur de Texas hasta la región de la Cordillera de los Andes (Bonett et al. 2017).

Fue introducido en Australia en 1935 para controlar la peste del escarabajo de la caña de azúcar. Actualmente considerado una plaga. Este sapo está dotado de glándulas parótidas ubicadas en el cuello, la curva del codo y la ingle. Cuando se siente amenazado, sus glándulas segregan un líquido blanco lechoso que contiene varios compuestos químicos, entre los que se han encontrado veintiún alcaloides, de los cuales aproximadamente once son triptaminas, siendo prevalente el 5-meo-DMT que puede estar presente entre un 10% a 15% del total (Horák et al. 2019).

En la actualidad el veneno de estos sapos, es de importancia mundial debido a las múltiples implicaciones en la medicina tradicional, por ejemplo, el uso en rituales y como sustancia psicoactiva. Por otro lado, la relevancia mayor, es centrada en la medicina veterinaria, por los múltiples hallazgos clínicos en animales intoxicados; principalmente en perros, en quienes esta toxina puede causar síntomas graves, que van desde una irritación leve hasta complicaciones potencialmente mortales.

La sintomatología puede clasificarse en:

§  Leve: presencia de irritación de la mucosa oral y salivación.

§  Moderada: sintomatología leve, más, depresión, debilidad, ataxia, irregularidad del ritmo cardiaco, defecación y micción

§  Severa: irritación de la mucosa oral, salivación, dolor abdominal, depresión y decúbito esternal, convulsión, irregularidad del ritmo cardiaco, edema pulmonar, cianosis, disnea e incluso la muerte (Moyano et al. 2009).

Después de una búsqueda exhaustiva de información, a pesar de la importancia dentro de la medicina veterinaria, existe poca evidencia científica que reporte la fisiopatología de esta intoxicación, en los diferentes órganos de los animales sobre todo a nivel de sistema digestivo.

Es por ello la relevancia de describir los cambios histológicos y morfológicos encontrados a nivel intestinal en ratones, además de identificar la presencia de estrés oxidante.

METODOLOGÍA

Los procedimientos experimentales descritos en este estudio están de acuerdo con los lineamientos de las Leyes y Códigos de México en el Título Séptimo del Reglamento de la Ley General de Salud en Materia de Investigación en Salud y la Norma Oficial Mexicana NOM-062-ZOO-1999 de especificaciones técnicas para la producción. cuidado y uso de animales de laboratorio, así como la directiva 2010/63/ue del parlamento europeo sobre la protección de los animales utilizados en investigaciones científicas.

Colecta de los sapos

Se colectaron 3 sapos para la obtención del veneno. Los sapos fueron colectados en la laguna Perené de la Ciudad Heroica de Veracruz en el Golfo de México, con coordenadas 19°10'06.9"N y 96°10'15.5"W en México (Figura 1.) Se seleccionó este lugar debido a la abundancia de estos anfibios y por ser una zona menos contaminada. Los sapos se buscaron en las primeras horas de la noche y se capturaron manualmente.

Veneno

La extracción de veneno fue de manera manual, éste se extrajo del sapo presionando la glándula parótida, el veneno expulsado se depositó en una caja de Petri de vidrio esterilizada previamente, el mismo día se pesó para los bioensayos.

Figura 1. Ubicación geográfica del lugar de colecta del veneno de sapo Rhinella marina

Nota: Laguna Perené de la Ciudad Heroica de Veracruz en el Golfo de México, México.

Imagen tomada de Google Maps (2023)

 

Dosis Letal 50% (DL50) aguda.

Para obtener la DL50, se siguió la técnica descrita por Lorke (Lorke, 1983). En el caso del veneno, se formaron 5 grupos con 3 ratones cada uno, a los cuales se les administraron dosis crecientes, 10, 50, 100, 500 y 1000 mg/kg. vía intragástrica (i.g.). Se mantuvieron en observación durante 14 días posteriores a la administración de los extractos/o venenos. Después de este periodo de observación, se estimó el porcentaje de supervivencia de los animales, obteniendo así la DL50 para el veneno mediante el análisis de probit.

Animales de experimentación.

Se utilizaron 16 ratones machos de la cepa CD1 que oscilaban en un peso aproximado entre 20 y 25 gramos, se colocaron de jaulas de acrílico y se dividieron aleatoriamente en dos grupos de 8 ratones cada uno. a) Control que recibió aceite de maíz (vehículo) vía intragástrica b) Intoxicado con 250 mg/Kg (DL50), del veneno vía intragástrica. A las 48 horas, se sacrificaron todos los animales. Por otra parte se obtuvieron los primeros seis centímetros de intestino de cada ratón, los primeros tres centímetros, se fijaron durante 48 horas en formol al 10% para realizarle una técnica histológica de inclusión en parafina,  y posteriormente se llevó a cabo la técnica topográfica de la tinción de hematoxilina-eosina, como se describe por Cano (Cano et al. 2011) y el resto se utilizó para medir la Lipoperoxidación calculada el contenido de TBARS (especies reactivas al ácido tiobarbitúrico) (Esterbauer et al. 1991).

RESULTADOS Y DISCUSIÓN

Los sapos de la familia Bufonidae, se encuentran distribuidos en todo el mundo, en México, esta familia de anfibios se encuentra en zonas tropicales, destacando los estados de Oaxaca, Chiapas y Veracruz (Parra et al. 2014).

Esta familia de sapos se caracteriza por poseer unas glándulas parótidas en su cabeza, las cuáles secretan una especie de moco blanquecino, que contiene toxinas, dichas toxinas son irritantes e inclusive pueden causar la muerte de los depredadores naturales de estos animales. El ser humano al estar mas cerca de los lagos y lagunas que son habitad natural de estos sapos, ha llevado a que algunos animales domésticos como perros y gatos podrían morder o tratar de depredar a estos sapos e intoxicarse con sus toxinas, los casos más comunes son los perros (Johnnides et al. 2016), cuando estos aprehenden a los sapos provocan la compresión de sus glándulas con la consecuente expulsión del veneno que entra en contacto con la mucosa oral. La absorción de las toxinas del sapo es por mucosa oral y gástrica desencadenándose diversos signos, principalmente a nivel gástrico, cardiaco, respiratorio y nervioso, esto trae como consecuencia que en muchas ocasiones el animal fallezca. (Moyano et al. 2009).

En este estudio encontramos una DL50   aguda de 250 mg/kg en un lapso de 14 días, esta dosis de el veneno ocasionó toxicidad de manera inmediata en el grupo de ratones intoxicados, ya que en su totalidad presentaron convulsiones generalizadas y opistótonos, dichos efectos también fueron reportados por Ma et al. (2012) en un modelo murino intoxicados con veneno de sapo vía oral, no encontramos ninguna mortalidad a las 48 horas, pero si daño al intestino como se esperaba.

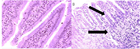
En estudio nos enfocamos al efecto que tiene el veneno de este sapo sobre el intestino, ya que muchas veces los perros pueden tragar el sapo y el veneno puede dañar la mucosa intestinal. En cuanto al análisis histológico (Figura 2) encontramos perdida de la continuidad celular de la capa mucosa, proceso inflamatorio debido a los abundantes leucocitos de la submucosa, esto signos también han sido reportados en perros que accidentalmente han mordido estos sapos (Barbosa, 2009), este daño a este órgano se atribuye principalmente a la Bufotoxina quien es capaz de lesionar la membrana y aumentar la permeabilidad como lo han reportado diversas investigaciones (Leoncioni et al. 2015, y Rodríguez et al. 2021), lo cual podría estar relacionado con los síntomas de diarrea y dolor abdominal (Moyano et al. 2009).

Figura 2: Fotomicrografías de intestino delgado

Nota: (A) Grupo control y (B) Grupo intoxicado con veneno de Rhinella marina.

 

Técnica de hematoxilina-eosina. Las flechas indican las alteraciones histológicas presentadas para la administración de veneno. Se observó pérdida de continuidad celular, hipercromasia,  atrofia de las microvellosidades y leucocitosis.

En cuanto al estrés oxidante del intestino (Figura 3), observamos un aumento significativo de la lipoperoxidación con respecto al grupo control, esto debido a que las toxinas del sapo pueden dañar la membrana e incluso dañar a ADN, (de Medeiros, 2019) lo que incrementaría la inflamación y la muerte celular.

Figura 3: Efecto del veneno de Rhinella marina sobre la peroxidación de lípidos del intestino delgado de ratón.

Nota: Se observó un aumento significativo de la lipoperoxidación. p<0.05 t student vs control.

 

CONCLUSIÓN

El veneno de sapo Rhinella marina, produce daño celular e inflamación  del intestino delgado, lo cual está relacionado con las alteraciones digestivas que se ha observado cuando algunos animales  como el dolor y diarrea, sobre todo perros y gatos  que lo ingieren por accidente, este modelo permite, describir mejor las alteraciones observadas por las toxinas del veneno crudo de la familia Bufonidae, y da apertura a realizar mayor investigaciones sobre la fisiopatología de la intoxicación y probar tratamientos en modelo murino, cabe recalcar que también es el primer estudio que reporta el incremento de un marcador de estrés oxidante, en este caso la lipoperoxidación.

REFERENCIAS BIBLIOGRAFICAS

Acevedo, A. A., Lampo, M., & Cipriani, R. (2016). The cane or marine toad, Rhinella marina (Anura, Bufonidae): two genetically and morphologically distinct species. Zootaxa, 4103(6), 574–586. https://doi.org/10.11646/zootaxa.4103.6.7

Bonett, R.M., J. Boundy, F.T. Burbrink, B.I. Crother, K. de Queiroz, D.R. Frost, & K.L Krysko. 2017. Scientific and Standard English Names of Amphibians and Reptiles North of Mexico, with Comments Regarding Confidence in Our Understanding.

Barbosa C.M, M.M. (2009). Toad poisoning in three dogs: case reports. UNESP, 15(4), 789-798. https://doi.org/10.1590/S1678-91992009000400016

Cano, E., Blas, V., Franco, M., Gallardo, C. A., & Ortiz, R. (2011). Methimazole-induced hypothyroidism causes cellular damage in the spleen, heart, liver, lung and kidney. Acta histochemica, 113(1), 1–5. https://doi.org/10.1016/j.acthis.2009.07.004

De Medeiros, D.S.S., Rego, T.B., Dos Santos, A.P.A., Pontes, A.S., Moreira-Dill, L.S., Matos, N.B., Zuliani, J.P., Stábeli, R.G., Teles, C.B.G., Soares, A.M., Sperotto, A.R. M., Moura, D.J., Saffi, J., Caldeira, C.A.D.S., Pimenta, D.C., & Calderon, L.A. (2019). Biochemical and Biological Profile of Parotoid Secretion of the Amazonian Rhinella marina (Anura: Bufonidae). BioMed research international, 2019, 2492315. https://doi.org/10.1155/2019/2492315

Esterbauer, H., Schaur, R.J., & Zollner, H. (1991). Chemistry and biochemistry of 4-hydroxynonenal, malonaldehyde and related aldehydes. Free radical biology & medicine, 11(1), 81–128. https://doi.org/10.1016/0891-5849(91)90192-6.

Horák, M., Mateos, E., y Cortina, A. (2019). Bufo alvarius: Evidencias literarias y controversias en torno a su uso tradicional. Revista: Medicina Naturista. 13(1).

https://dialnet.unirioja.es/servlet/articulo?codigo=6761086

Johnnides, S., Green, T., y Eubig, P. (2016). Toad Intoxication in the Dog by Rhinella marina: The Clinical Syndrome and Current Treatment Recommendations. J Am Anim Hosp Assoc. 52:205–211. https://doi.org/10.5326/JAAHA-MS-6365

Lencioni, L., Silva de Lima, C., Ayres, P., Harz, L., Aquino, M., Bianca da Cruz, I. (2015). Laboratory, clinical and pathological aspects of intoxication by bufotoxin in a canine – case report. Sch J Agric Vet Sc, 2(5):345-346.

Lorke D. A new approach to practical acute toxicity testing. Arch Toxicol 1983; 54(4):275-87. https://doi.org/ 10.1007/BF01234480.

Ma, H., Zhou, J., Jiang, J., Duan, J., Xu, H., Tang, Y., LV, G., Zhang, J., Zhan, Z., & Ding, A. (2012). The novel antidote Bezoar Bovis prevents the cardiotoxicity of Toad (Bufo bufo gargarizans Canto) Venom in mice. Experimental and toxicologic pathology: official journal of the Gesellschaft fur Toxikologische Pathologie, 64(5), 417–423.

https://doi.org/10.1016/j.etp.2010.10.007

Moyano, M.R, Molina, A.M, Lora, A.J, Rufino Moya PJ, Fernández, O, Camacho, L.N. (2009). Intoxicación aguda en perro por toxinas de sapo (Bufo bufo). Revista Electrónica de Veterinaria.10(4). 1-5.

Parra, G., Flores, O., Mendoza, C., (2014) Biodiversidad de anfibios en México. Revista Mexicana de Biodiversidad 85 (Supl. 85): 460-466. https://doi.org/10.7550/rmb.32027P.

Rodríguez, C., Ibáñez, R., Mojica, L., N.G, M., Spadafora, C., Durant-Archibold, A.A., Gutiérrez, M. Bufadienolides from the Skin Secretions of the Neotropical Toad Rhinella alata (Anura: Bufonidae): Antiprotozoal Activity against Trypanosoma cruzi. Molecules 2021, 26, 4217.  https://doi.org/10.3390/molecules26144217



[1] Autor principal

Correspondencia: cgallardoc@ipn.mx