Hiperhomocistinemia como Causa de Isquemia Cerebral en un Paciente Joven, Presentación de un Caso en el Noroccidente Colombiano

 

Juan Sebastián Theran león[1]

Jtheran554@unab.edu.co

https://orcid.org/0000-0002-4742-0403

UDES-Bucaramanga

Colombia

 

Luis Andrés Dulcey Sarmiento

luismedintcol@gmail.com

https://orcid.org/0000-0001-9306-0413

Universidad de los Andes

Bucaramanga, Colombia

 

Neider Juliano Medina Medina

nanomedinamedina@gmail.con

https://orcid.org/0009-0002-5319-9810

Universidad de Pamplona

 

Nathaly Ayala contreras

Nathaly_1207@hotmail.com

https://orcid.org/0009-0006-7963-5704

Universidad Autónoma de Bucaramanga

Colombia

 

Jhon Anderson Zapata Vargas

jhonz-28@hotmail.com

https://orcid.org/0009-0005-6727-4641

Universidad de Pamplona

Colombia

 

Miguel Ángel Duran Patiño

mduran194@unab.edu.co

https://orcid.org/0009-0005-0370-4112

Universidad de Pamplona

Colombia

 

Juan Carlos Gutiérrez Gutiérrez

juancgutig1307@gmail.com

https://orcid.org/0009-0009-6483-4083

Universidad libre seccional Barranquilla

Colombia

 

José Daniel Urrea Aragón

jurreaaragon@gmail.com

https://orcid.org/0000-0002-5098-1391

Universidad libre de Barranquilla

Colombia

 

 

RESUMEN

La asociación entre hiperhomocisteinemia y accidente cerebrovascular está bien documentada en la literatura. Sin embargo, existen informes limitados que revelan eventos de accidente cerebrovascular en la población joven afectada por hiperhomocisteinemia. En este articulo presentamos un caso que muestra una hiperhomocisteinemia que provocó un accidente cerebrovascular isquémico en un paciente de 16 años. El paciente acudió a urgencias por mareos y debilidad en las extremidades del hemicuerpo derecho, no pérdida del conocimiento. El examen neurológico preliminar nomostró signos cerebelosos positivos, el examen físico y el estudio diagnóstico final confirmó un isquémico del territorio de la cerebral media izquierda secundario a  hiperhomocisteinemia ya que el protocolo diagnostico no mostro causas arrítmicas, aterotromboticas ni malformaciones vasculares, no foramen ni comunicaciones interventriculares o auriculares, se encontró una hiperhomocistinemia marcada. Discutimos la presentación del caso, el estudio diagnóstico, en este atípico caso en un paciente proveniente de zona rural de Santander.

 

Palabras clave: genetica; thrombosis; epidemiologia

Hyperhomocystinemia as a Cause of Cerebral Ischemia in a Young Patient, Presentation of a Case in Northwestern Colombia

 

ABSTRACT

The association between hyperhomocysteinemia and stroke is well documented in the literature. However, there are limited reports revealing stroke events in the young population affected by hyperhomocysteinemia. In this article we present a case showing hyperhomocysteinemia that caused an ischemic stroke in a 16-year-old patient. The patient went to the emergency room due to dizziness and weakness in the extremities of the right hemibody, not loss of consciousness. The preliminary neurological examination did not show positive cerebellar signs, the physical examination and the final diagnostic study confirmed an ischemic condition of the left middle cerebral territory secondary to hyperhomocysteinemia since the diagnostic protocol did not show arrhythmic, atherothrombotic or vascular malformations causes, no foramen or interventricular communications or headphones, marked hyperhomocysteinemia was found. We discuss the presentation of the case, the diagnostic study, in this atypical case in a patient from rural Santander.

 

Keywords: genetics; thrombosis; epidemiology

 

 

Artículo recibido 15 noviembre 2023

Aceptado para publicación: 26 diciembre 2023


 

INTRODUCCION

Se plantea la hipótesis de que la homocisteína es un aminoácido altamente reactivo y potencia la oxidación de lipoproteínas de muy baja densidad, que es tóxica para las células endoteliales y puede causar trombosis arterial y venosa (1).  La hiperhomocisteinemia es un trastorno metabólico común caracterizado por una elevación sistémica del aminoácido tiol, homocisteína, un metabolito potencialmente tóxico formado como intermedio del ciclo de la metionina. La desmetilación de la metionina dietética conduce a la formación de homocisteína en un proceso de 3 pasos donde la enzima metionina adenosiltransferasa (MAT) cataliza primero la transferencia de un grupo adenosina del ATP a la metionina, lo que da como resultado la formación de S-adenosilmetionina (SAM). En el segundo paso, el donante de metilo universal SAM transfiere su grupo metilo a moléculas aceptoras como ADN, ARN, proteínas y lípidos utilizando la enzima metil transferasa (MT), lo que da como resultado la formación de S-adenosil homocisteína (SAH). En el paso final, la SAH es escindida por la enzima S-adenosil homocisteína hidrolasa (SAHH) para producir L-homocisteína (2-4). La concentración plasmática de homocisteína se mantiene dinámicamente mediante la vía de remetilación o transsulfuración (5-6). La remetilación implica el reciclaje de homocisteína a metionina, principalmente mediante la enzima metionina sintasa (MS), con N5- metiltetrahidrofolato como donante de metilo y vitamina B12 como cofactor esencial ( 7-9 ). En la vía de remetilación, el tetrahidrofolato derivado del ácido fólico de la dieta desempeña un papel importante, ya que la serina hidroximetiltransferasa (SHMT) lo convierte para formar N 5 , N 10 .-metilentetrahidrofolato, que luego se reduce mediante la metilentetrahidrofolato reductasa (MTHFR) para generar el donante de metilo N5 - metiltetrahidrofolato ( 10-11 ). En algunos órganos, la remetilación de la homocisteína utiliza la enzima betaína-homocisteína metiltransferasa (BHMT) para transferir el grupo metilo de la betaína (12-14). En la vía de transsulfuración, la enzima cistationina β-sintasa (CBS) añade serina a la homocisteína para formar cistationina, que luego es escindida por la cistationasa (CSE) para formar cisteína (15) Ambas enzimas utilizan la vitamina B6 como cofactor esencial (16).

Varios estudios epidemiológicos han indicado que la hiperhomocisteinemia puede aumentar el riesgo de accidente cerebrovascular cerebral, potencialmente debido a su impacto en las modificaciones ateroscleróticas venosas y arteriales, la disfunción endotelial y la inflamación vascular (16). Por estas razones, además de ser un factor de riesgo, la Organización Mundial de la Salud también considera que la hiperhomocisteinemia es un fuerte contribuyente a la enfermedad cardiovascular (17). El análisis de múltiples estudios prospectivos y retrospectivos ha demostrado una reducción de alrededor del 19% en el riesgo de accidente cerebrovascular por cada disminución de 3 μM en la concentración plasmática de homocisteína con suplementos vitamínicos (17). Como tal, se ha propuesto el uso de niveles elevados de homocisteína como biomarcador preclínico para el accidente cerebrovascular (17). Sin embargo, los grandes estudios de intervención con suplementos de folato para reducir los niveles de homocisteína produjeron datos contradictorios, lo que generó algunas preocupaciones, especialmente sobre el tamaño de la población evaluada en los estudios anteriores, que mostraron resultados positivos (18).

El accidente cerebrovascular es la segunda causa principal de muerte y una de las principales causas de discapacidad en todo el mundo, con una tasa de mortalidad anual de 5,5 millones de personas y discapacidad crónica entre el 50% de los supervivientes (18). En la mayoría de los casos, el accidente cerebrovascular se debe a una obstrucción abrupta de un vaso sanguíneo y a una reducción del suministro de sangre al cerebro (accidente cerebrovascular isquémico), pero en algunos casos puede deberse a la ruptura de un vaso sanguíneo (accidente cerebrovascular hemorrágico) que causa sangrado en el cerebro o el espacio subaracnoideo. Los estudios preclínicos emergentes ahora indican que la hiperhomocisteinemia también podría empeorar el resultado del accidente cerebrovascular, lo que proporciona la base para considerar la hiperhomocisteinemia como una comorbilidad que podría afectar directamente la fisiopatología del resultado del accidente cerebrovascular. El propósito de esta articulo es resumir la evolución y eventos ocurridos en un paciente joven de la III década de la vida quien presento un evento cerebrovascular isquémico secundario a hiperhomocistinemia.

Presentacion del caso

Se trata de paciente masculino de la II década de la vida quien acudió a urgencias por mareos y debilidad en las extremidades del hemicuerpo derecho, no pérdida del conocimiento. Dentro de sus antecedentes se descarto el consumo de sustancia estimulantes, niega enfermedades cardiometabolicas. Niega antecedentes quirúrgicos, manifiesta acv de tipo isquémico precoz en un primo hermano masculino a los 36 años.

El examen neurológico preliminar no mostró signos cerebelosos positivos, el examen físico y el estudio diagnóstico final confirmó un isquémico del territorio de la cerebral media izquierda secundario a  hiperhomocisteinemia ya que el protocolo diagnostico no mostro causas arrítmicas, aterotromboticas ni malformaciones vasculares, no foramen ni comunicaciones interventriculares o auriculares, en base al protocolo (CASCADE, del inglés Childhood Acute Ischemic Stroke Standardized Classification and Diagnostic Evaluation). Esta clasificación se basa en la localización y naturaleza de cualquier alteración anató- mica detectada, tanto en el árbol vascular extracraneal o intracraneal como intracardíaca, que pudiera explicar el ictus en el paciente individual. Exige la realización de las siguientes pruebas diagnósticas: ecocardiograma, imagen vascular (angiografía por resonancia magnética [angio-RM], angiografía por tomografía computarizada [Angio-TC], o arteriografía convencional) y el patrón de distribución anatómica del infarto cerebral en neuroimagen (RM o TC). Las principales categorías diagnósticas son: arteriopatía de pequeño vaso de la infancia; arteriopatía cerebral focal unilateral de la infancia; arteriopatía cerebral bilateral de la infancia; arteriopatía aórtica o cervical; cardioembolia; otros; y multifactorial. Su principal limitación es que, al basarse en enfermedades estructurales de corazón o vasos sanguíneos, no confiere entidad etiológica a las enfermedades inflamatorias, síndromes genéticos, hemoglobinopatías e infecciones o los estados de hipercoagulabilidad. Por otra parte, la concordancia interobservador es solo moderada a pesar de entrenamiento (18). 

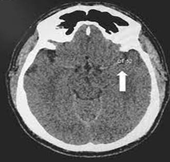
Figura 1: Tomografia axial computada simple de cráneo cortes axiales, aprecia el signo de la cuerda en el circuito medio izquierdo

DISCUSIÓN

La hiperhomocisteinemia o elevación crónica de la homocisteína plasmática es ampliamente reconocida como un factor de riesgo de accidente cerebrovascular isquémico en humanos. Sin embargo, todavía no está claro si los niveles elevados de homocisteína plasmática podrían contribuir directamente a la gravedad del resultado del accidente cerebrovascular. Existen nuevos e interesantes estudios muestran que la señalización GluN2A-NMDAR (19-20) mediada por homocisteína es un determinante crítico de la mayor neurotoxicidad y daño cerebral observados cuando se combinan ambos factores estresantes. Los estudios también enfatizan el papel de la activación sostenida de ERK MAPK en la muerte celular isquémica en condiciones de hiperhomocisteinemia. Como generalmente se cree que los GluN2A-NMDAR promueven la supervivencia neuronal, este nuevo hallazgo que implica un papel de los GluN2A-NMDAR en la neurotoxicidad podría conducir a un cambio de paradigma importante en el campo de la señalización NMDAR (20).

Con la prevalencia de la hiperhomocisteinemia en la población general, existe una necesidad urgente de realizar más estudios en modelos de accidente cerebrovascular clínicamente relevantes y en pacientes humanos con accidente cerebrovascular para validar aún más el papel de la hiperhomocisteinemia como biomarcador predictivo de la gravedad del resultado del accidente cerebrovascular. El evento cerebrovascular en un paciente joven es catastrófico desde todo punto de vista como en el presente caso pasando el Rankin previo al evento de ser 0 a actualmente 1 punto. El reconocimiento de la hiperhomocisteinemia como un factor comórbido ayudaría aún más a explorar nuevos objetivos terapéuticos posteriores a la señalización de GluN2A-NMDAR. Estas terapias, cuando se combinan con agentes trombolíticos, podrían eventualmente reducir la gravedad del daño cerebral isquémico en personas que padecen hiperhomocisteinemia.

REFERENCIAS BIBLIOGRÁFICAS

Guieu R, Ruf J, Mottola G. Hyperhomocysteinemia and cardiovascular diseases. Ann Biol Clin (Paris). 2022 Feb 1;80(1):7-14. doi: 10.1684/abc.2021.1694.

Maron BA, Loscalzo J. The treatment of hyperhomocysteinemia. Annu Rev Med. 2009;60:39-54. doi: 10.1146/annurev.med.60.041807.123308.

Paganelli F, Mottola G, Fromonot J, Marlinge M, Deharo P, Guieu R, Ruf J. Hyperhomocysteinemia and Cardiovascular Disease: Is the Adenosinergic System the Missing Link? Int J Mol Sci. 2021 Feb 8;22(4):1690. doi: 10.3390/ijms22041690.

Guéant JL, Guéant-Rodriguez RM, Oussalah A, Zuily S, Rosenberg I. Hyperhomocysteinemia in Cardiovascular Diseases: Revisiting Observational Studies and Clinical Trials. Thromb Haemost. 2023 Mar;123(3):270-282. doi: 10.1055/a-1952-1946.

Božič-Mijovski M. Hyperhomocysteinemia and thrombophilia. Clin Chem Lab Med. 2010 Dec;48 Suppl 1:S89-95. doi: 10.1515/CCLM.2010.365. Epub 2010 Nov 25. PMID: 21105837.

Makris M. Hyperhomocysteinemia and thrombosis. Clin Lab Haematol. 2000 Jun;22(3):133-43. doi: 10.1046/j.1365-2257.2000.00301.x.

Bonetti F, Brombo G, Zuliani G. The relationship between hyperhomocysteinemia and neurodegeneration. Neurodegener Dis Manag. 2016 Apr;6(2):133-45. doi: 10.2217/nmt-2015-0008.

Carey A, Fossati S. Hypertension and hyperhomocysteinemia as modifiable risk factors for Alzheimer's disease and dementia: New evidence, potential therapeutic strategies, and biomarkers. Alzheimers Dement. 2023 Feb;19(2):671-695. doi: 10.1002/alz.12871.

MacFarlane AJ. Hyperhomocysteinemia in patients with cardiovascular manifestations: to treat or not to treat. Am J Clin Nutr. 2021 May 8;113(5):1081-1082. doi: 10.1093/ajcn/nqab090.

Baszczuk A, Kopczyński Z. Hiperhomocysteinemia u chorych na schorzenia układu krążenia [Hyperhomocysteinemia in patients with cardiovascular disease]. Postepy Hig Med Dosw (Online). 2014 Jan 2;68:579-89. Polish. doi: 10.5604/17322693.1102340. PMID: 24864108.

Veeranki S, Gandhapudi SK, Tyagi SC. Interactions of hyperhomocysteinemia and T cell immunity in causation of hypertension. Can J Physiol Pharmacol. 2017 Mar;95(3):239-246. doi: 10.1139/cjpp-2015-0568.

Kawada T. Smoking, hyperhomocysteinemia, metabolic syndrome, and cardiovascular risk. Nutrition. 2021 Jan;81:111031. doi: 10.1016/j.nut.2020.111031.

Shindi K, Nejadhamzeeigilani H. Vein of Trolard Thrombosis in Hyperhomocysteinemia. Stroke. 2023 Apr;54(4):e159-e160. doi: 10.1161/STROKEAHA.122.041968.

Åberg F, Jula A, Lundqvist A, Männistö V. Hyperhomocysteinemia predicts liver-related clinical outcomes in the general population. J Hepatol. 2023 May;78(5):e172-e174. doi: 10.1016/j.jhep.2022.11.021.

Hiraoka M, Kagawa Y. Genetic polymorphisms and folate status. Congenit Anom (Kyoto). 2017 Sep;57(5):142-149. doi: 10.1111/cga.12232. Epub 2017 Jul 20.

Kang SS, Rosenson RS. Analytic Approaches for the Treatment of Hyperhomocysteinemia and Its Impact on Vascular Disease. Cardiovasc Drugs Ther. 2018 Apr;32(2):233-240. doi: 10.1007/s10557-018-6790-1.

Perła-Kaján J, Jakubowski H. Dysregulation of Epigenetic Mechanisms of Gene Expression in the Pathologies of Hyperhomocysteinemia. Int J Mol Sci. 2019 Jun 27;20(13):3140. doi: 10.3390/ijms20133140.

Kalita J, Singh VK, Misra UK. A study of hyperhomocysteinemia in cerebral venous sinus thrombosis. Indian J Med Res. 2020 Dec;152(6):584-594. doi: 10.4103/ijmr.IJMR_2125_18.

Kaye AD, Jeha GM, Pham AD, Fuller MC, Lerner ZI, Sibley GT, Cornett EM, Urits I, Viswanath O, Kevil CG. Folic Acid Supplementation in Patients with Elevated Homocysteine Levels. Adv Ther. 2020 Oct;37(10):4149-4164. doi: 10.1007/s12325-020-01474-z.

Qureshi SS, Gupta JK, Goyal A, Narayan Yadav H. A novel approach in the management of hyperhomocysteinemia. Med Hypotheses. 2019 Aug;129:109245. doi: 10.1016/j.mehy.2019.109245.

 

 



[1] Autor principal

Correspondencia: Jtheran554@unab.edu.co