Paciente Femenina de 27 Años con Dolor Toracico, Tos sin Expectoracion y Disnea de 4 Meses de Evolución con Derrame Pleural Exudado Atribuible a un Proceso Neoplásico. A Propósito de un Caso

 

Med. Jhoselyne Susana Chocho Gutiérrez [1]

jhosu_1997@yahoo.es

https://orcid.org/0009-0009-1807-3033

Clínica Abendaño. 

Ecuador

Med. Johnny Fernando Japa Guzman

jfernando1694@gmail.com

https://orcid.org/0009-0005-0623-5390

Centro de Salud del Tambo

Ecuador

 

Jerry Fabián López Zuñiga

jerry1996@outlook.es

https://orcid.org/0009-0005-0732-343x

Investigador Independiente

Ecuador

Karla Gabriela Torres Jiménez

gabytorresj23@gmail.com

https://orcid.org/0009-0009-4792-9101

Hospital básico

José Miguel Rosillo Cariamanga

 

Alex Damian Valle Pucha

alex.valle@unl.edu.ec 

https://orcid.org/0009-0001-8340-454X

Investigador Independiente

Ecuador

 

Cristian Alfonso Galarza Sánchez

cristiangalarzasanchez@gmail.com

https://orcid.org/0000-0002-7410-6313

Investigador Independiente

Ecuador

 

RESUMEN

A continuación, se presenta el caso de una paciente de sexo femenino de 27 años de edad oriunda de Quilanga y residente en el barrio La Paz del cantón Loja, con antecedentes patológicos de asma bronquial a los 5 años de edad y diagnóstico de vitíligo hace 5 años, sin hábitos tóxicos de consumo de tabaco ni alcohol. La paciente refiere un cuadro crónico de tos sin expectoración, dolor torácico y disnea de medianos esfuerzos que se acompaña de pérdida de peso de 4 Kg en los últimos 4 meses, refiere que hace 3 meses acudió a consulta de médico particular en donde se indicó Montelukast 10 mg al día ante un cuadro presuntivo de asma bronquial para el cual no se corroboró con un examen de  la función pulmonar, en las últimas 9 horas el cuadro se exacerba por lo que acude al servicio de emergencia de la  clínica  Abendaño de la ciudad de Loja. Tras el ingreso hospitalario, la realización de la anamnesis y examen físico correspondiente se requirió el uso de pruebas imagenológicas en donde  una  tomografía de tórax contrastada describe específicamente la presencia de masa a nivel del mediastino anterosuperior, con un tamaño aproximado de 18 x 10 x 9 cm, se determina derrame pleural izquierdo masivo, a lo cual se establece realización de toracentesis para el análisis citológico del líquido pleural que ponen en manifiesto y determinan el diagnóstico de derrame pleural Exudado según Criterios de Light, determinando su origen por una afección de tipo maligna que se confirma mediante la realización de examen histológico con células CD19 Y CD20 positivas, patrón compatible con Linfoma Pulmonar primario de células B de tipo MALT.

 

Palabras clave: tos; dolor torácico; linfoma pulmonar primario; disnea y MALT

27-Year-Old Female Patient with Chest Pain, Cough Without Expectoration and Dyspnea for 4 Months with Exudate Pleural Effusion Attributable to a Neoplastic Process. About a Case

 

ABSTRACT

Next, the case of a 27-year-old female patient from Quilanga and resident in the La Paz neighborhood of the Loja canton is presented, with a pathological history of bronchial asthma at 5 years of age and a diagnosis of vitiligo 5 years ago. years, without toxic habits of tobacco or alcohol consumption. The patient reports a chronic picture of cough without expectoration, chest pain and dyspnea on medium exertion that is accompanied by a 4 kg weight loss in the last 4 months, she reports that 3 months ago she went to a private doctor's office where Montelukast was indicated 10 mg a day in the presence of a presumptive picture of bronchial asthma for which it was not corroborated with a pulmonary function test, in the last 9 hours the picture is exacerbated so he goes to the emergency service of the Isidro Ayora General Hospital in the city of Loja. After hospital admission, the anamnesis and the corresponding physical examination required the use of imaging tests where a contrast-enhanced chest tomography specifically described the presence of a mass at the level of the anterosuperior mediastinum, with an approximate size of 18 x 10 x 9 cm, a massive left pleural effusion is determined, to which a thoracentesis is established for the cytological analysis of the pleural fluid that reveals and determines the diagnosis of pleural effusion Exudate according to Light's criteria, determining its origin by a malignant type condition confirmed by histological examination with positive CD19 and CD20 cells, a pattern compatible with primary MALT-type B-cell Pulmonary Lymphoma.

 

Keywords: cough; chest pain;  primary pulmonary; lymphoma; dyspnoea and MALT

 

 

Artículo recibido 18 noviembre 2023

Aceptado para publicación: 29 diciembre 2023


 

INTRODUCCIÓN

Presentación de caso clínico

A propósito de un caso:

El Linfoma pulmonar primario (LPP) se constituye como un tipo de patología caracterizada por una proliferación linfoide clonal que puede llegar a comprometer parénquima y/o tejido bronquial pulmonar ya sea de uno o ambos órganos vitales, sus hallazgos a nivel de la extensión pulmonar pueden tardar en ser descubiertos incluso hasta 3 meses después luego de haber comenzado con la sintomatología referente.

Los LPP son trastornos de tipo proliferativo que se originan con frecuencia a partir de la proliferación clonal de linfocitos B, se cree que son un resultado de un tipo de estimulación antigénica crónica asociada a enfermedades autoinmunes, tabaquismo y otras infecciones como por virus de Epstein-Barr.

La presencia de un Linfoma pulmonar primario es un tipo de hallazgo relativamente frecuente en basa a la edad, existen dos picos de presentación el primero antes de los 30 años y el segundo entre los 50 a 70 años, también existe predisposición frente a algunos factores de riesgo, constituye el 3-4% de los linfomas no Hodgkin extranodales, menos del 1% de los linfomas no Hodgkin y a nivel mundial representan el 0,5-1% de las neoplasias malignas pulmonares.

El LPP puede presentarse de distintas formas, por un lado, es el LPP de células B que representa un grado menor de malignidad y de hecho esta es la forma más frecuente de presentación, se encuentra asociada a linfoma de células B de la zona marginal de tejido linfoide asociado a mucosas (Linfoma MALT) además por otro lado se incluyen Linfomas no-MALT. Por otro lado, existe una variación que comprende a LPP de células B de células grandes que incluyen un linfoma difuso de estas células y granulomatosis linfomatoide (GL).

Sus manifestaciones clínicas dependerán del subtipo de LPP de cual se trate, el 50% pacientes pueden ser asintomáticos cuando se trata de un linfoma tipo MALT, pero por otra parte el cuadro clínico en los otros tipos puede incluir tos, disnea, dolor torácico, fiebre, pérdida de peso y excepcionalmente hemoptisis. Frente a esto los hallazgos clínicos al ser inespecíficos se pueden complementar con hallazgos radiológicos que pueden incluir características esenciales como la presencia de una masa consolidada a nivel torácico, nódulos aislados, nódulos mal definidos y todas estas características radiológicas acompañadas de derrame pleural o atelectasia.

Objetivo General

§  Analizar la presentación de un caso de Linfoma Pulmonar primario en una paciente de sexo femenino de 27 años de edad, con antecedentes de Asma bronquial y Vitíligo diagnosticado hace 5 años.

Objetivos Específicos

§  Determinar como la correcta realización de la anamnesis y exploración física nos permite ratificar y realizar un manejo oportuno en cuanto al esclarecimiento de un diagnóstico preciso y determinado según el grado de incidencia a comparación de otras enfermedades que se presenten con un cuadro clínico similar.

§  Formular hipótesis diagnósticas en relación a la sintomatología de la paciente, y comparar con el cuadro clínico de un Linfoma Pulmonar primario, con la finalidad de reconocer su fisiopatología y el uso oportuno de las herramientas diagnósticas y de tratamiento.

Comparar las manifestaciones clínicas establecidas para el diagnóstico de Linfoma pulmonar primario y su presentación en conjunto con otros hallazgos de tipo radiológico que se consideran comunes en esta afección como el derrame pleural y la atelectasia

MÉTODOS

Revisión retrospectiva, descriptiva y transversal de una historia clínica perteneciente a una paciente femenina de 27 años de edad.

Presentación del caso

Paciente femenina de 27 años de edad, con antecedentes patológicos de asma bronquial y vitíligo diagnosticado desde hace 5 años, acude a consulta por presentar dolor torácico con predominio en hemitórax izquierdo de moderada intensidad de tipo punzante y con irradiación a tórax posterior y epigastrio, acompañado de disnea de medianos esfuerzos y tos no productiva de predominio nocturno, la paciente refiere que en los últimos 4 meses ha perdido 4 kg de peso aproximadamente sin causa aparente, al cuadro se suma malestar general, ortopnea y diaforesis. La paciente menciona que hace 3 meses acudió a médico particular tras presentar tos sin expectoración en donde se le envió Montelukast (Dosis diaria no especificada) para tratar un cuadro presuntivo de asma bronquial y se solicitó una espirometría la cual no se realizó, la paciente refiere no haber notado mejoría alguna. En las últimas 9 horas el dolor torácico se exacerba EVA (8/10), niega haberse automedicado antes de acudir al servicio de emergencias de esta casa de salud para su valoración médica.

Antecedentes personales

·      Patológicos

Asma bronquial a los 5 años de edad

Vitíligo diagnosticado hace 5 años

·      Quirúrgicos

Hernioplastia umbilical hace 3 años

Cesárea hace 4 años.

Antecedentes familiares

·      Madre: Diagnosticada con cáncer uterino

Hábitos patológicos

§  Alcohol: No refiere

§  Tabaco: No refiere

§  Drogas: No refiere

Examen somático general

Signos Vitales

§  Tensión arterial: 120/85 mmHg

§  Frecuencia cardiaca: 135 lpm

§  Frecuencia respiratoria: 26 rpm

§  Temperatura axilar: 39.1 °C

§  Saturación de oxígeno: 91%

Medidas Antropométricas

§  Talla: 1.67 m

§  Peso: 51 kg

§  IMC: 18.3 kg/m2 (Bajo peso)

Examen Físico Regional

Cabeza

§  Forma: Simétrica, normocéfalo

§  Cabello: Cantidad, distribución e implantación normal. 

§  Cara: Forma redondeada, volumen proporcional al resto del cuerpo, simetría entre estructuras de ambas hemicaras, sensibilidad completa.

§  Frente: de características normales

§  Cejas: Cantidad y distribución normal.

§  Párpados: Características Normales

§  Ojos: Globos oculares de características normales: pupilas isocóricas, fotorreactivas, escleras y conjuntivas normales.

§  Nariz: Características normales, fosas nasales permeables

Boca

§  Labios: de características normales y simétricos.

§  Mucosa bucal: Normales, no eritemas, sin ulceraciones.

§  Encías: Características normales

·         Dientes: Piezas dentales propias, incompletas.

·         Lengua: 

Cara dorsal: Lengua saburral 

Cara ventral: Frenillo lingual normal movilidad normal. 

·         Paladar blando y duro: Características normales. 

·         Amígdalas y úvula: Características normales

Pabellón Auricular

·         Forma: Normal

·         Tamaño: Normal

·         Nivel de inserción: Normal

 

Oído

·         Conducto Auditivo Externo: Permeable en ambos oídos

Cuello

·         Inspección

Presencia de edema en región cervical anterior.

Distensión yugular izquierda

·         Palpación: Doloroso a la palpación

Maniobra de Quervain: (-) Tiroides no palpable

·         Movilidad: Movimientos activos y pasivos normales

Signo de Brudzinski: Negativo

Signo de Kernig: Negativo.

·         Auscultación: Normal.

Examen Físico Regional: Tórax 

Inspección

§  Tórax estático: Simétrico, expansibilidad disminuida.

§  Tórax dinámico: Respiración costal - superior, ritmo y amplitud respiratoria alterada.

Frecuencia respiratoria: 26 resp/min.

Palpación

§  Glándula mamaria izquierda tumefacta y dolorosa a la palpación.

Percusión

§  Matidez en hemitórax izquierdo

§  Timpanismo conservado en hemitórax derecho.

Auscultación:

§  Corazón: R1 y R2 rítmicos y normofonéticos, de tono e intensidad normal, sincrónicos con el pulso radial. No se aprecian soplos.

§  Pulmones: Murmullo vesicular abolido en el campo pulmonar izquierdo.  Matidez  en 2/3  de pulmon izquierdo.

Pectoriloquia Afona presente.  Roncus en ápice pulmonar izquierdo.

Murmullo vesicular normal en el campo pulmonar derecho

Examen Físico Regional: Abdomen

Inspección

§  Estática: Abdomen simétrico, sin cicatrices ni lesiones, sin masas ni abultamientos.

§  Dinámica: De características normales.

Auscultación

§  Ruidos hidroaéreos conservados (24 RHA x min.)

§  No soplos a nivel de la aorta abdominal, arterias renales, ilíacas o femorales

Percusión

§  Matidez hepática y esplénica normal

Palpación

§  Palpación superficial: Temperatura normal, sensibilidad conservada, sin signos de distensión abdominal.

§  Palpación profunda: Doloroso a la palpación en epigastrio (+++/4), McBurney: negativo, Murphy: negativo, Blumberg: negativo, Grey Turner: negativo, Puntos ureterales negativos: Psoas: negativo.

Examen Físico Regional: Lumbar

§  Inspección: Despigmentación de vitíligo en región lumbosacra (3cm)

§  No dolorosa al puño y digito percusión.

Examen Físico Regional: Extremidades

Inspección

§  Forma, longitud y simetría de características normales.

Palpación

§  Tono y fuerza muscular 5/5 según la escala de Daniels en miembros inferiores y superiores, pulsos distales pedios y poplíteos simétricos.


 

Extremidades superiores

§  Normorreflexia en los reflejos bicipital, tricipital y estilorradial

§  Edema en miembro superior izquierdo (++/4)

Extremidades inferiores

§  Normorreflexia en los reflejos rotuliano y aquiliano.

Reflejo de Babinski: Negativo (-)

Exámenes complementarios y analítica. Evolución intrahospitalaria

Luego del ingreso del paciente con los antecedentes descritos se presentan los siguientes hallazgos de laboratorio: GB: 13.3, linfocitos 3.8%, neutrófilos 85.1%, HB: 14.1, HTO 41.3%, TGP 72.1, amilasa 27, bilirrubina directa 0,350, dímero D 1.37 en los cuales se evidencia linfopenia y  leucocitosis con neutrofilia.

Consecuentemente, se solicita examen de imagen, tomografía simple de tórax desde la base del cuello hasta el diafragma, en el cual se visualiza adenomegalias en el nivel IV izquierdo de 27 mm, otras imágenes ganglionares más pequeñas de 9 mm, llama la atención el hallazgo de masa mediastínica anterior isodensa al músculo con desplazamiento de las estructuras mediastinales hacia la derecha con un tamaño aproximado de 19,6 x12x10 cm, con campo pulmonar izquierdo colapsado que denota en derrame pleural izquierdo con presencia de tabicaciones en su interior, volumen aproximado de 2000cc.

A continuación, y teniendo como impresión diagnóstica de la TAC simple de tórax de masa mediastinal y derrame pleural se sugiere complementar con tomografía contrastada para mejor caracterización de la lesión, en la TAC contrastada de Tórax se especifica la presencia de masa sólida a nivel de mediastino superior y anterior, isodensa heterogénea con áreas de necrosis en su interior, que al administrar medio de contraste existe captación, con medidas  18x10x9 cm, el mismo que desplaza las estructuras del mediastino hacia la derecha  y diafragma izquierdo hacia caudal, se observa que engloba vasos sanguíneos.

Se observa asimetría de campo pulmonar, con colapso de pulmón izquierdo, determinando la presencia de derrame pleural izquierdo severo. De los resultados de pruebas de imagen se establece la posibilidad del diagnóstico relacionado con linfoma primario de pulmón vs tumor de células germinales. Posteriormente se establece la realización de toracocentesis, con determinación de citoquímico bacteriológico de Liquido pleural, citología de líquido pleural y cultivo de BAAR, de cuyos exámenes se obtuvo una química como parámetros alterados de albumina de 2.6 g/dl, glucosa en Liquido Cito/Bac 56.7 mg/dl, LDH de 1750 U/l y proteínas de 3.9 g/dl, características macroscópicas de Líquido pleural de acuerdo al color: amarillo, aspecto: turbio, pH:8 (alcalina), cumpliendo con los criterios para delimitación del derrame pleural izquierdo masivo Exudado según los Criterios de Light que engloban una relación LDH en líquido y en suero mayor de 0,6, relación de proteínas en líquido y en suero mayor de 0.5 y LDH en líquido pleural mayor a las 2/3 del límite superior del valor normal de LDH sérico. En la citología de líquido pleural se establece como resultado negativo para malignidad en el material obtenido, se deriva a valoración oncológica, donde se realiza el respecto examen histológico compatible con células CD16 y CD20 positivas, que guía hacia el diagnóstico de Linfoma Pulmonar Primario de células B con proliferación linfocítica de localización submucosa bronquiolar. 

Exámenes de Laboratorio

Tabla 1: Exámenes de laboratorio del mes de diciembre del 2023: Biometría hemática, Química sanguínea, Ionograma y Gasometrías, Inmunología, Uroanálisis y Marcadores oncológicos.

Biometría Hemática

Parámetros

Resultado

Valor Referencia

Globulos Blancos

*13.3

(4.8 – 10.8) Ul

Linfocitos

*0.5

(1.1 – 3.2) Ul

Linfocitos %

*3.8

(30.5 – 45.5) %

Monocitos

*1.4

(0.3 – 0.8) Ul

Monocitos %

10.3

(5.5 – 11.7) %

Neutrofilos

*11.3

(2.2 – 4.8) Ul

Neutrofilos %

*85.1

(40.0 – 65.0) %

Eosinofilos

0.1

(0.0 – 0.5) Ul

Eosinofilos %

0.40

(0.50 – 2.90) %

Basofilos

0.1

 

Basofilos %

0.2

(0.2 – 1.0) %

Globulos Rojos

4.7

4.2 – 5.1 Ul

Hemoglobina

14.1

12.0 – 16.0 G/Dl

Hematocrito

41.3

37.0 – 47.0 %

Mcv

88.1

81.0 – 99.0 Fl

Mch

30.1

27.0 – 32.0 Pg

Mchc

34.1

32.0 – 36.0 G/Dl

Rdw – Sd

45.9

37.0 – 54.0 Fl

Rdw – Cv

14.3

11.5 – 15.5 %

Volumen Medio Plaquetario

9.4

7.4 – 10.4 Fl

Granulocitos Inmaduros Valor Absoluto

0.63

 

Granulocitos Inmaduros %

338.0

 

Plaquetas

11.2

(130.0 – 400.0)

Nrbc %

0.00

 

Nrbc

0.00

 

Quimica Sanguinea

Glucosa Basal

93.70

70 – 109.00 Mg/Dl

Urea

22.7

10.0 – 50.0 Mg/Dl

Bun

10.61

Creatinina

0.6

0.5 – 1.1 Mg/Dl

Ck Mb

17.1

(0.0 – 25.0) Ng/Ml

Ast (Tgo)

28.6

0.0 – 32.0 U/L

Alt (Tgp)

*72.1

0.0 – 40.0 U/L

Amilasa

*27.0

28.0 – 100.0 Ui/L

Bilirrubinas Séricas

 

 

Bilirrubina Total

0.610

(0.000 – 1.100) Mg/Dl

Bilirrubina Directa

*0.350

(0.010 – 0.300) Mg/Dl

Bilirrubina Indirecta

0.260

(0.210 – 0.800) Mg/Dl

Dimero D

*1.37

(0.15 – 0.50) Ug/Ml

Ionograma Y Gasometrías

Sodio En Suero

136.02

135.0 - 145.0 Meq/L

Potasio En Suero

4.01

3.50 - 5.50 Meq/L

Cloro

103.60

96.00 -109.00 Mg/Dl

Osmolaridad

289.05

280 – 300 Mosm/Kg

Gasometria

 

 

Po2

*76.2

(80.0 – 100.0) Mmhg

Pco2

*28.00

(35.00 – 45.00) Mmhg

Ph Gas

*7.50

(7.30 – 7.40)

Saturación De Oxígeno

*96.3

(75.0­ – 94.0) %

Hct

45.70

(35.00 – 50.00) %

Be

-0.5 Mmol/L

 

Beecf

-1.90 Mmol/L

 

Chco3st

23.9 Mmol/L

 

P50

26.7 Mmhg

 

Ctco2

20.3 Vol%

 

Inmunología

Ferritina

*386.7

(13.0 – 150.0) Ng/Ml

Microbiológico

Hiv 1 – 2

No Reactivo

Sifilis Cualitativa

Negativo

Urianalisis

Emo (Uroanalisis De Rutina)

Color

Amarillo

Aspecto

Lig. Turbio

Densidad

1.020

Ph

5.0

Glucosa

Negativo

Mg/Dl

Leucocitos

Negativo

/Ul

Nitritos

Negativo

 

Cuerpos Cetonicos

Negativo

 

Bilirrubinas

Negativo

 

Urobilinogeno

Negativo

Mg/Dl

Sangre

Negativo

Ul

Proteinas

Negativo

Mg/Dl

Leucocitos

0-5

/Campo

Hematies

0-3

 

Celulas Epiteliales

Abundantes

/Campo

Bacterias

+

 

Filamentos Mucosos

++

 

Marcadores Oncológicos

B2-Microglobulina

1.60

(0.8 – 2.4) Mg/Dl

AST: Aspartato aminotransferasa; ALT: Aminotransferasa; MCV: Volumen corpuscular medio; MCH: Hemoglobina corpuscular media; MCHC: Concentración de Hemoglobina Corpuscular media; HCT: Hematocrito; Po2: Presión parcial de oxígeno; PCO2: Presión parcial anhidrido carbónico; CK MB: Creatina quinasa isoenzima MB.

Tabla realizada por: Caso  Clínico Clinica Abendaño.


 

Exámenes de imagen

Figura 1. Electrocardiograma: Eje  a  30  grados,  ritmo  sinusal. Patron S1Q3T3  ECG:  normal. 

 

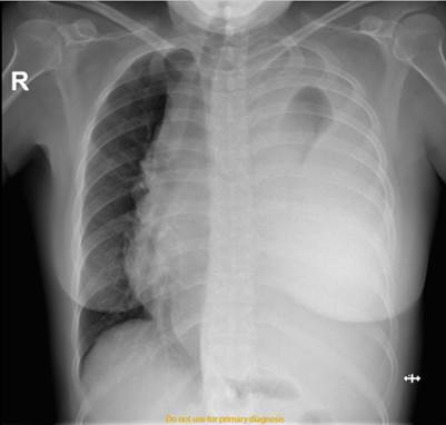
Figura 2:  Radiografía de tórax AP, se observa derrame pleural izquierdo, con presencia de tabicaciones en su interior, volumen aproximado de 2000cc

Imagen tomada de: Caso Clínico Clínica Abendaño.  Loja - Ecuador


 

Figura 3:  Radiografía de tórax LAT.

Imagen tomada de: Caso Clínico Clínica Abendaño.  Loja - Ecuador

 

Figura 4: TAC simple de tórax se observa, se observa asimetría de campo pulmonar, con colapso de pulmón izquierdo, con atelectasia.

Imagen tomada de: Caso Clínico Clínica Abendaño.  Loja - Ecuador


 

Figura 5:  TAC de tórax con contraste, llama la atención a nivel de mediastino superior y anterior gran masa sólida, isodensa heterogénea, mide aproximadamente 18 x 10 x 9 cm, áreas de necrosis en su interior. Corazón de tamaño y morfología normal.

Imagen tomada de: Caso Clínico Clínica Abendaño.  Loja - Ecuador

 

Figura 6:  TAC de tórax, Presencia de masa mediastinal, colapso pulmonar izquierdo, derrame pleural izquierdo masivo. Tráquea desplazada hacia la derecha.

Imagen tomada de: Caso Clínico Clínica Abendaño.  Loja - Ecuador

Nota de procedicimentos ante diagnóstico imagenológico: Ante los hallazgos radiológicos compatibles con Derrame pleural izquierdo masivo, se procedió a realizar toracocentesis y estudios citológicos del líquido pleural extraído.

Estudio citológico de líquido pleural

Tabla 2: Estudio citológico de líquido pleural

Estudio Químico

Preoteinas Totales

Albumina

*2.6

(3.5 – 5.5) G/Dl

Glucosa En L. Cito/Bac

*56.7

(60.0 – 110.0) Mg/Dl

Ldh Liquidos Cito/Bac

*1750.0

(0.0 – 400.0) U/L

Proteinas En Liquido

*3.9

(6.6 – 8.7) G/Dl

Microbiología

Caracteristicas Del Liquido

Color

Amarillo

Aspecto

Turbio

Color Aspecto Por Centrifugado

Amarillo Transparente Con Botón Leucocitario Y Hemático

Volumen

39 Cc

Ph

8

Reacción

Alcalina

Tabla realizada por: Caso  Clínico Clinica Abendaño.  Loja - Ecuador

Estudio Histoquímico (SOLCA)

Tabla 3: Estudio histopatológico

Resultado

Examen histológico con células CD19 y CD20 positivas. Patrón compatible con Linfoma Pulmonar primario de células B, proliferación linfocítica de localización submucosa bronquiolar.

Tabla realizada por: Caso  Clínico Clinica Abendaño.  Loja - Ecuador

 

RESULTADOS

Se realizó una biometría hemática completa, en donde se identificó una leucocitosis con neutrofilia teniendo como valores predisponentes: Linfocitos (3.8%), Neutrófilos (85%) (Tabla 1) lo que orienta a un proceso de tipo infeccioso. Además, teniendo en cuenta el valor de eosinófilos (0.40%) permite descartar un proceso asociado a hipersensibilidad como la Neumonitis por hipersensibilidad que en un inicio se atribuyó al uso de Montelukast ante un cuadro bronquial no confirmado, por otro lado el valor de eosinófilos presente nos permite descartar la duda diagnóstica de Síndrome de Löffler, que era concordante con el cuadro clínico presentado, sin embargo este valor y al no existir antecedente de contacto con microrganismos de tipo parasitario como el Áscaris Lumbricoides nos permite realizar sus respectivo descarte.

Consecuentemente dentro de la química sanguínea se obtuvieron valores dentro de los parámetros normales a excepción del valor de TGP (Aspartato aminotransferasa) el cual mostró un aumento aproximado al doble (72.1 U/L) (Tabla 1) de los valores de referencia, lo cual se asocia a los hábitos personales de la paciente de esta forma podría constituirse como un factor predisponente de padecimiento de Hígado graso. Se justifica el pedido de CK MB (Creatinina quinasa) ante la sospecha de un cuadro de tipo muscular asociado a la edad y al antecedente patológico de la enfermedad autoinmune presentada (Vitíligo) el valor dentro de los parámetros normales (17.1 ng/mL) descartaría enfermedades como la Dermatomiositis y la Polimiositis.

Otro hallazgo importante ante la sospecha diagnóstica de enfermedades de tipo obstructivas es analizar el valor del Dímero D (1.37 ug/ml) (Tabla 1) el cual al reflejar un valor elevado debe ser ratificado por una Angiotac de tórax para descartar o confirmar enfermedades como la Tromboembolia pulmonar, cabe mencionar que un valor de Dímero D elevado debe ser apoyado por este tipo de pruebas, por otro lado, el valor normal de este indicador ayudaría al descarte de este tipo de patología.

Dentro del análisis de la gasometría arterial y teniendo en cuenta los valores del pH (7.50) y de la PCO2 (28.00) (Tabla 1) se puede confirmar la presencia de una alcalosis respiratoria.

En la última parte del análisis por laboratorio se puede tener en cuenta que los valores dentro de lo normal del marcador oncológico B2- Microglobulina (1.60 mg/dL) (Tabla 1) descartan un proceso asociado a mieloma múltiple.

El análisis electrocardiográfico (Fig. 1) mostro una duración del intervalo PR en 12 ms, complejo QRS: 58ms, además su eje a 60 ° y una taquicardia sinusal, además nos permitió descartar un posible cuadro de tromboembolia pulmonar aguda basándonos en el patrón S1, Q3 y T3 los cuales no se presentaron en el  electrocardiograma, cabe mencionar que no es un patrón definitivo al momento del diagnóstico, sin embargo, puede llegar a ser de utilidad para la orientación médica.

El estudio radiológico por medio de una TAC simple mostró tejidos blandos y elementos óseos que integran la pared, sin evidencia de alteraciones. Se visualiza adenomegalias en el nivel IV izquierdo de 27 mm, otras imágenes ganglionares más pequeñas de entre 9mm. Aorta, troncos supra aórticos y arterias pulmonares impresiona de calibre normal. (Fig. 4) Llama la atención masa mediastinal anterior isodensa al músculo, que desplaza las estructuras mediastinales hacia la derecha, mide aproximadamente 19,6 x 12 x 10 cm. Corazón de tamaño y morfología normal. Con ventana de pulmón se observa campo pulmonar izquierdo colapsado, el derecho no se observa zonas de infiltrados ni consolidación. Derrame pleural izquierdo, con presencia de tabicaciones en su interior, volumen aproximado de 2000cc.

Se sugirió la realización de una tomografía contrastada para mejor caracterización de la lesión, en la que se especifica la presencia de masa sólida a nivel de mediastino superior y anterior, isodensa heterogénea con áreas de necrosis en su interior, que al administrar medio de contraste existe captación, con medidas de 18x10x9 cm (Fig. 5), el mismo que desplaza las estructuras del mediastino hacia la derecha y diafragma izquierdo hacia caudal, se observa que engloba vasos sanguíneos. Se Observa asimetría de campo pulmonar, con colapso de pulmón izquierdo, determinando la presencia de derrame pleural izquierdo severo. (Fig. 6)

Por último se establece la realización de toracocentesis ante la presencia del derrame pleural a nivel del campo pulmonar izquierdo, con determinación de estudio citológico de Liquido pleural, mediante el análisis de los cuales se obtuvo una química como parámetros alterados de albumina de 2.6 (g/dL), glucosa en Liquido Cito/Bac (56.7 mg/dl) LDH de (1750 U/l) y proteínas de 3.9 (g/dL), características macroscópicas de Líquido pleural de acuerdo al color: amarillo, aspecto: turbio, pH:8 (alcalina) (Tabla 2), cumpliendo con los criterios para delimitación del derrame pleural izquierdo masivo Exudado según los Criterios de Light

Ante todos los hallazgos clínicos y radiológico se decide derivación hacia SOLCA – Núcleo Loja, donde se realiza el respectivo examen histológico compatible con células CD16 y CD20 positivas, que confirma el diagnóstico de Linfoma Pulmonar Primario de células B con proliferación linfocítica de localización submucosa bronquiolar. (Tabla 3)


 

Diagnóstico Final

§  Linfoma pulmonar primario

§  Derrame pleural izquierdo masivo (Clasificación de Light: Exudado)

Tratamiento

§  Solución salina 0.9% 100cc pasar a 60 ml/hora.

§  Ranitidina 50 mg vía intravenosa cada 12 horas

§  Paracetamol 1 gramo IV PRN

§  Enoxaparina 40 mg/día vía subcutánea

§  Bromuro de Ipratropio 2 puff stat cada 8 horas

§  Dexametasona 4 mg vía intravenosa cada 8 horas

§  Tramadol 50 mg vía intravenosa stat lento y diluido

§  Metoclopramida 10 mg vía stat junto con tramadol

Tratamiento oncológico

§  Transferencia  a  solca  para recibir CHOP-R.

DISCUSIÓN

Seplanteo  el  síndrome disnéico Crónico Febril con compromiso  inmunológico:   Razón por la cual se consideró los siguientes diagnósticos diferenciales:

Cáncer de Pulmón: El cáncer de pulmón es una enfermedad común del adulto, de causa multifactorial y resultante del crecimiento incontrolado de células del tracto respiratorio, en particular del tejido pulmonar, el cual se sospechó ya que provoca dolor torácico, disnea, tos, pérdida de peso, taquipnea, ortopnea. Se descartó media biopsia pulmonar porque los resultados no evidenciaron los marcadores tumorales para este tipo de cáncer como: CEA, CYFRA 21-1 Y NSE 

Enfermedad pulmonar obstructiva crónica: La enfermedad pulmonar obstructiva crónica (EPOC) es una enfermedad pulmonar inflamatoria crónica que causa la obstrucción del flujo de aire de los pulmones. Se pensó en esta patología por el dolor torácico, la disnea, la taquipnea, la taquicardia y el campo pulmonar izquierdo abolido que presentaba la paciente, sin embargo, se lo descarto mediante radiografía de tórax porque no se evidenció pulmones hiperinsuflados, diafragma aplanado, trama vascular aumentada y corazón ligeramente aumentado de tamaño.

Absceso pulmonar: El absceso de pulmón es una infección pulmonar supurada que provoca la destrucción del parénquima pulmonar, habitualmente con un nivel hidroaéreo que presenta dolor torácico, disnea, fiebre, diaforesis, tos, malestar general y pérdida de peso que concordaba con los signos y síntomas de la paciente. Se lo descarto mediante radiografía de tórax ya que no se presenció consolidación con única cavidad que contiene un nivel hidroaéreo en los segmentos basales superiores o laterales de los lóbulos inferiores.

De esta manera, en conjunto con los exámenes de laboratorio e imagen, se determinó como diagnósticos finales: linfoma pulmonar primario y derrame pleural.

Linfoma pulmonar primario (LPP): Es una enfermedad neoplásica relativamente frecuente, definida como una proliferación clonal linfoide que afecta a uno o ambos pulmones (parénquima y/o bronquios) en un paciente sin afectación extrapulmonar detectable en el momento del diagnóstico o durante los siguientes 3 meses. Comprende formas de LPP de células B de bajo grado de malignidad e indolentes, siendo la forma más frecuente la representada por el linfoma de células B de la zona marginal de tejido linfoide asociado a mucosas (linfoma MALT) y otros linfomas no-MALT de bajo grado; y, excepcionalmente, el LPP de células B de alto grado de malignidad (que incluye el linfoma difuso de células B grandes) y la granulomatosis linfomatoide (GL).

Con respecto a su etiología los LPP son trastornos linfoproliferativos que se originan con frecuencia a partir de la proliferación clonal de la línea de linfocitos B, principalmente de las células B de la zona marginal del MALT del bronquio. Se cree que los linfomas MALT son el resultado de una estimulación antigénica crónica asociada a la exposición al tabaco, a enfermedad autoinmune o infección, mientras que la granulomatosis linfomatoide está asociada a la infección por el virus de Epstein-Barr (VEB). Epidemiológicamente el linfoma pulmonar primario es una enfermedad muy poco frecuente, que representa únicamente el 3-4% de los linfomas no Hodgkin (LNH) extranodales, menos del 1% de LNH y tan sólo el 0,5-1% de las neoplasias pulmonares primarias malignas. El linfoma MALT representa el 85-90% de los casos de la enfermedad, siendo el tipo más frecuente de linfoma pulmonar. La proporción de varones y mujeres afectados es cercana a 1:1.

Según la clasificación de la Organización Mundial de la Salud, los linfomas pulmonares primarios se dividen:

Tabla 3. Clasificación de Linfomas pulmonares primarios (OMS)

a.

Linfoma pulmonar primario de células B de bajo grado (58-87% de todos los casos de linfoma pulmonar primario), que en un 90% de las ocasiones es linfoma de tejido linfoide asociado a la mucosa (MALT/BALT).

b.

Linfoma primario pulmonar de células B de alto grado,11-19% de todos los casos de linfoma pulmonar primario.

c.

Plasmocitoma pulmonar primario

d.

Linfoma pulmonar intravascular

Granulomatosis linfomatoidea

Tabla realizada por: Caso  Clínico Clinica Abendaño.  Loja – Ecuador

 

El diagnóstico de la enfermedad está basado en hallazgos clínicos y radiológicos inespecíficos que incluyen nódulos aislados, nódulos múltiples mal definidos, masa consolidada con broncograma aéreo, derrame pleural, atelectasia y cavidades. El examen histológico contribuye al diagnóstico del tipo de tumor. El análisis inmunohistoquímico revela células positivas para CD19 y CD20.

Derrame pleural: El derrame pleural se define como la acumulación anormal de líquido en el espacio pleural, que se produce por el aumento en la producción o disminución en su drenaje. El derrame pleural (DP) modifica el equilibrio entre el volumen de la cavidad torácica y el de sus órganos, alterando el funcionamiento del aparato respiratorio, corazón y diafragma. Altera poco el intercambio pulmonar de gases, pero provoca cambios restrictivos proporcionales a su volumen, aumenta los diámetros torácicos y disminuye la compliance pulmonar. Puede originar un cuadro similar al taponamiento cardiaco. La presión intrapleural aumentada puede incrementar la presión intrapericárdica e interferir el llenado de las cámaras cardíacas, disminuyendo el gasto cardíaco. También puede invertir el diafragma, induciendo un movimiento paradójico que disminuye la ventilación alveolar.

El derrame pleural se clasifica como exudado o trasudado. El de tipo trasudado usualmente es bilateral y ocurre cuando el balance de las fuerzas hidrostáticas es alterado a favor de la acumulación de líquido pleural. La permeabilidad de los capilares a las proteínas es normal. Por el contrario, un derrame pleural exudativo es con mayor frecuencia unilateral y se desarrolla cuando la superficie pleural y/o la permeabilidad capilar local están alteradas. En la (Tabla 4). se enumera las principales causas de derrame pleural exudado.  

Tabla 4. Causas de derrame pleural tipo Exudado

Causas más frecuentes

Causas menos frecuentes

Causas raras

Malignidad

Infarto pulmonar

Síndrome de la uña amarilla

Derrame paraneumónico

Artritis reumatoide

Medicamentos

Tuberculosis

Enfermedad autoinmune

Infecciones micóticas

 

Pancreatitis

 

 

Síndrome post- infarto agudo de miocardio

 

Tabla realizada por: Caso  Clínico Clinica Abendaño.  Loja - Ecuador

Diferentes criterios se han propuesto para diferenciar un trasudado de un exudado. Los criterios de Light se han convertido en la herramienta diagnóstica estándar para realizar esta interpretación, como se describe en la (Tabla 5).

Tabla 5. Criterios de Light

 

Trasudado

Exudado

Aspecto

Claro

Turbio

LDH

<200 UI

>200 UI

Proteínas en líquido

<0,5 (<50%)

>0,5 (>50%)

LDH en líquido

<0,6 (<60%)

>0,6 > (60%)

Albúmina

<3,1 gr/dL

>3,1 gr/dL

Glucosa

>60 mg/dL

<60 mg/dL

Rivalta

Negativo

Positivo

Densidad

<1012

>1012

Tabla realizada por: Caso  Clínico Clinica Abendaño.  Loja - Ecuador

La existencia de un derrame pleural se sospecha por los síntomas del paciente y al auscultar el pulmón. El primer paso para establecer el diagnóstico es la presencia de líquido en el espacio pleural, que puede determinarse mediante una radiografía de tórax. Sin embargo, es posible que en una radiografía de tórax no se detecten cantidades pequeñas de líquido. El siguiente paso es la toracocentesis que consiste en la punción de espacio pleural para obtener líquido pleural con fines diagnósticos. Esto nos permitirá saber si se trata de un trasudado o un exudado. En el caso de la paciente se estableció un derrame pleural Exudado ya que cumplía con los Criterios de Light para este tipo.


 

CONCLUSIONES

Se descartó la presencia de neumonitis por hipersensibilidad atribuible al tratamiento con Montelukast como factor predisponente, al presentar en la biometría hemática presencia de eosinófilos dentro de los parámetros normales al igual que se realiza el descarte del síndrome de Loeffler por no presentar alteraciones de estos parámetros ni algún antecedente de infección por Áscaris Lumbricoides.

En cuanto a la presencia de alteración de transaminasas en una paciente joven podría ser indicador de un factor relacionado con su hábito y estilo de vida que desemboca en afectación de tipo hepática como el hígado graso,  recordando que paciente  tenia  Peso  bajo. 

Con la identificación de un dímero D por encima de los valores de referencia debe establecerse el uso de Angio-TAC de tórax para valorar el diagnóstico de tromboembolismo pulmonar, contrariamente, si se presenta valores dentro de los parámetros normales del dímero D se descarta la posibilidad de Tromboembolia Pulmonar

El patrón S1Q3T3 identificado en el electrocardiograma es sugestivo, pero no confirmatorio para el diagnóstico orientado a tromboembolismo pulmonar, esclareciendo que su aparición puede estar ligado a otras enfermedades que puedan ocasionar sobrecarga del ventrículo derecho.

Por medio de una TAC simple de tórax se establece el diagnóstico de Derrame pleural masivo en el campo pulmonar izquierdo de tipo Exudado según criterios de Light de acuerdo con el estudio citológico de líquido pleural con valores de LDH mayores a los ⅔ del límite superior del valor normal, relación LDH en líquido y en suero mayor de 0,6 y relación de proteínas en líquido y en suero mayor de 0.5.

El derrame pleural de tipo exudado se caracteriza por estar presente en procesos de tipo paraneumónicos, tuberculosos o neoplásicos.

El linfoma pulmonar primario se constituye como una afección de tipo pulmonar caracterizado por presentar un cuadro clínico inespecífico, pero con hallazgos radiológicos caracterizados por una masa mediastínica, derrame pleural y atelectasia, los cuales siempre debutan con esta patología.

El estudio histoquímico compatible con células CD-19 y CD-20 es el patrón característico para establecer un diagnóstico de Linfoma Pulmonar Primario.

Conflicto de intereses

No tener ningún conflicto de intereses.

Agradecimientos

Al paciente que nos otorgó el respectivo permiso para el análisis y presentación del caso clínico, información obtenida de  la  clínica  Abendaño de la ciudad de Loja y al Dr. Cristian Galarza Sánchez, Médico internista diabetólogo y docente investigativo de la carrera de Medicina de la Facultad de Salud Humana de la Universidad Nacional de Loja por servir de guía en la presentación del escrito.

REFERENCIAS BIBLIOGRAFÍCAS

Orphanet: Linfoma pulmonar primario. (s. f.). Recuperado 17 de junio de 2022, de https://www.orpha.net/consor/cgi-bin/OC_Exp.php?lng=es&Expert=2420

Tromboembolismo Pulmonar en el Electrocardiograma. (s. f.). Recuperado 17 de junio de 2022, de https://www.my-ekg.com/enfermedades/tromboembolismo-pulmonar-ekg.html

Linfoma tipo Malt pulmonar: Presentación de un caso y revisión de la bibliografía | Nazario Dolz | Revista Cubana de Cirugía. (s. f.). Recuperado 17 de junio de 2022, de http://www.revcirugia.sld.cu/index.php/cir/article/view/141/58

Martínez Baños, J., Galbis Caravajal, J. M., Ortiz Villalón, C., Arnau Obrer, A., Figueroa Almánzar, S., Martínez Hernández, N., & Guijarro Jorge, R. (2010). Linfomas primarios de pulmón. Revista de patología respiratoria, 13(3), 130–133. https://doi.org/10.1016/s1576-9895(10)70006-0

Martínez Rivera C, Bonnin Vilaplana M, Simón Adiego C, et al. Masa cavitada como forma de presentación de un linfoma pulmonar primario. Arch Bronconeumol 2004; 40: 94-6.

Sancho Chust, J. N., Chiner Vives, E., & Camarasa Escrig, A. (2008). Linfoma pulmonar primario: una rara causa de masa pulmonar. Anales de medicina interna (Madrid, Spain: 1984), 25(7), 374–376. https://doi.org/10.4321/s0212-71992008000700017

Thieblemont C, Berger F, Coiffier B.. Mucosa associated lymphoid tissue lymphomas..Curr Opin Oncol, 7 (1995), pp. 415-20

Wislez M, Cadranel J, Antoine M, Milleron B, Bazot M, Mayaud C, et al.. Lymphoma of pulmonary mucosa-associated lymphoid tissue: CT scan findings and pathological correlations..  Eur Respir J, 423-9 (1999),

Saltzstein SL.. Pulmonary malignant lymphomas and pseudolymphomas: classification, therapy and prognosis.. Cancer, 17 (1963), pp. 117-20.

 



[1]Autor principal

Correspondencia: cristiangalarzasanchez@gmail.com