DOI: https://doi.org/10.37811/cl_rcm.v8i1.9853

Síndrome de Neurotoxicidad Irreversible por Efecto del Litio (SILENT) en una Paciente de Latinoamerica, Reporte de un Fenomeno Atipico

 

Laritza Johana Perez Ardila[1]

Laritzap22@gmail.Com

https://orcid.org/0009-0008-5908-8947 

Universidad de Santander

Colombia

 

Maritza Johanna Camacho Santamaria

mcamacho26@gmail.com

https://orcid.org/0009-0007-6950-664X 

Universidad de Santander

Colombia

 

María Alejandra Vivas Prada

Mvivas462@gmail.com

https://orcid.org/0009-0005-4719-6244  

Universidad Autonoma de Bucaramanga

Colombia

 

Leonardo David Jiménez Romero

Leo09327@gmail.com

https://orcid.org/0009-0007-8446-525X

Universidad Simón Bolívar

Colombia

 

Isi Karolina Romero Bulla

isiskarolinaromerobulla@gmail.com

https://orcid.org/0009-0005-3276-5651

Universidad de Santander

Colombia

 

Angie Carolina Herrera Contreras

ancahecon@hotmail.com 

https://orcid.org/0009-0005-4410-0980 

Universidad de Cartagena

Colombia

 

Angie Carolina Banda David

angie.banda27@gmail.com

https://orcid.org/0009-0006-9193-861X

Universidad industrial de Santander

Colombia

Ricardo Andrés Angulo Medina

ricardoandresangulomedina@gmail.com

https://orcid.org/0009-0000-6931-7696

Universidad Industrial de Santander

Colombia

 

Valentina Quintero Quintero

quinterovalentina@hotmail.com

https://orcid.org/0009-0007-7284-093X

Universidad de Santander UDES

Colombia

 

 

 


 

RESUMEN

El litio sigue siendo el agente de primera línea para el trastorno bipolar. A pesar del conocimiento común sobre el monitoreo de los niveles de litio para prevenir la toxicidad, todavía ocurre en diversos grados. A continuación se presenta una rara secuela de toxicidad por litio, el Síndrome de Neurotoxicidad Irreversible secundaria a Litio (SILENT). Una mujer de la sexta década de la vida funcional a pesar de estar en terapia crónica con litio para el trastorno de estrés postraumático (TEPT) y el trastorno bipolar se presentó en la sala de emergencias con estado mental alterado y convulsiones asociadas con niveles elevados de litio e insuficiencia renal. Se administraron fármacos antiepilépticos para el control de las convulsiones. A pesar de la eliminación del agente agresor, la paciente siguió teniendo una ralentización generalizada en el EEG repetido con solo la apertura de los ojos y los movimientos de las extremidades sin propósito recuperados incluso después de más de 2 meses de suspensión del litio. SILENT se acuñó después de que se observaran informes de déficits neurológicos persistentes en pacientes que experimentaron toxicidad por litio más de 2 meses después de suspender el litio. La desmielinización es la característica típicamente reportada en el SILENT. También puede dejar al paciente en un estado encefalopático persistente. La toxicidad crónica por litio debido a la falta de seguimiento pone en riesgo a los pacientes que reciben terapia con litio razón por la cual debe hacerse un control adecuado de estos pacientes.

 

Palabras clave: litio, toxicología, psiquiatría

 

 

 

Artículo recibido 22 diciembre 2023

Aceptado para publicación: 30 enero 2024

 


 

Syndrome of Irreversible Neurotoxicity due to the Effect of Lithium (SILENT) in a Patient from Latin America, Report of an Atypical Phenomenon

 

ABSTRACT

Lithium remains the first-line agent for bipolar disorder. Despite common knowledge about monitoring lithium levels to prevent toxicity, it still occurs to varying degrees. The following is a rare sequelae of lithium toxicity, Lithium Irreversible Neurotoxicity Syndrome (SILENT). A woman in her sixth decade of functional life despite being on chronic lithium therapy for post-traumatic stress disorder (PTSD) and bipolar disorder presented to the emergency room with altered mental status and seizures associated with elevated levels of lithium and kidney failure. Antiepileptic drugs were administered for seizure control. Despite removal of the offending agent, the patient continued to have generalized slowing on repeat EEG with only eye opening and aimless limb movements recovered even after more than 2 months of lithium withdrawal. SILENT was coined after reports of persistent neurological deficits were observed in patients who experienced lithium toxicity more than 2 months after stopping lithium. Demyelination is the characteristic typically reported in SILENT. It can also leave the patient in a persistent encephalopathic state. Chronic lithium toxicity due to lack of follow-up puts patients receiving lithium therapy at risk, which is why adequate monitoring of these patients must be carried out.

 

Keywords: lithium, toxicology, psychiatry.


 

INTRODUCCIÓN

El litio sigue siendo la primera línea en el tratamiento del trastorno bipolar (1, 2). Debido a su estrecho índice terapéutico, la toxicidad por litio es un problema común. Tiene una incidencia de 0,01 por paciente-año en un estudio realizado en una cohorte de 1340 pacientes expuestos a litio entre 1997 y 2013 (3). La neurotoxicidad del litio puede ser reversible o irreversible y puede ser potencialmente mortal (4).

Por lo tanto, no se puede exagerar el monitoreo de los niveles de litio. El síndrome de neurotoxicidad irreversible provocada por litio (SILENT) se acuñó después de informes de casos de déficits neurológicos persistentes después de la toxicidad por litio a pesar de la normalización de los niveles de litio (5). Es una rara secuela de la toxicidad por litio. Presentamos un caso de SILENT un fenómeno atípico en una paciente latinoamericana.

Presentación del caso

Una mujer con antecedentes de hipertension y diabétes de la sexta década de la vida, con trastorno bipolar (tipo 1), fue llevada a urgencias debido a un estado mental alterado. Al inicio, la paciente es completamente funcional hasta tres semanas antes, cuando se informó que tenía episodios de agitación y despertares nocturnos.

Durante este tiempo, también se observó que había aumentado el consumo de líquidos. Se informó que deambulaba de noche con insomnio. Lo llevaron a un centro psiquiátrico donde se continuaron sus medicamentos de mantenimiento (risperidona, clonazepan, biperideno y carbonato de litio). Continuó teniendo episodios de agitación y su dosis de litio se incrementó de 600 mg a 900 mg por día.

Sin embargo, 2 días previos al ingreso presentaba horas de sueño crecientes y sin ingesta oral. Fue llevado a nuestra sala de emergencias donde presentó convulsiones no generalizadas. Sus signos vitales fueron normales.

No hubo anomalías aparentes de los nervios craneales, ni debilidad focal, ni se observó rigidez de nuca. El estudio inicial mostró litio elevado (2,8 mEq/L, rango terapéutico 0,8-1,2 mEq/L), creatinina elevada, potasio elevado (5,4 mEq/L) y sodio bajo (130 mEq/L), y los gases mostraron acidosis metabólica y respiratoria combinadas. Se realizó una tomografía computarizada simple de cráneo, pero fue normal. El paciente recibió ácido valproico intravenoso y goteo de midazolam para el control de las convulsiones.

Se consideró que el paciente tenía toxicidad por litio. Se suspendieron todos los medicamentos psiquiátricos, incluido el litio. Se realizó un electroencefalograma (EEG) al día siguiente que mostró una ralentización generalizada de la actividad de fondo con picos de ondas ocasionales en la región frontal.

Después de 48 horas, la paciente estaba libre de convulsiones y se desactivó el midazolam. Los niveles de litio se monitorearon con un nivel decreciente hasta 0,14 mEq/L después de 5 días. La función renal también estaba mejorando. El sodio se corrigió con cuidado para evitar una corrección rápida. Sin embargo, el paciente El estado mental de la paciente no mejoró, por lo que se obtuvieron niveles de benzodiazepinas en la orina que estaban elevados a >10 000 ng/mL.

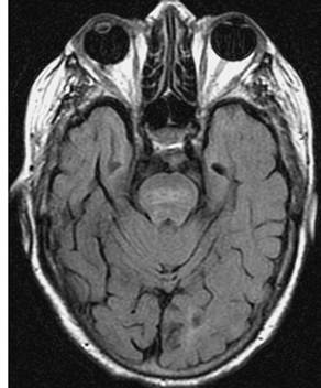
A pesar de la depuración de benzodiacepinas y litio (ahora a 0,01 mEq/L), la paciente no recuperó la conciencia por completo. Los EEG subsiguientes todavía mostraron una desaceleración theta generalizada y no se observaron más descargas epileptiformes. Asimismo, la repetición de la tomografía computarizada craneal no mostró nuevos hallazgos. Se realizó resonancia magnética por su mayor sensibilidad la cual mostro cambios de hipo hipodensidad en región del tallo (figura 1).

Figura 1. Resonancia magnética de la paciente que muestra cambios de desmielinizacion en tallo.

DISCUSIÓN

El síndrome de neurotoxicidad irreversible provocada por litio (SILENT) se acuñó después de informes de casos de déficits neurológicos persistentes después de toxicidad por litio a pesar de la normalización de los niveles de litio. Las secuelas neurológicas a largo plazo se consideran persistentes cuando los síntomas están presentes durante al menos 2 meses después de suspender el litio. En una revisión de 90 casos de pacientes con déficits persistentes, el perfil clínico típico identificado es el siguiente: disfunción cerebelosa persistente, síndrome extrapiramidal persistente, disfunción del tronco encefálico persistente o demencia con diversos síndromes mentales orgánicos. También tiene presentaciones atípicas que incluyen nistagmo hacia abajo, neuritis óptica retrobulbar, papiledema persistente, movimientos coreoatetoides, neuropatía periférica (tanto motora como sensorial), miopatía, y ceguera (debido a mielinolisis pontina central). Solo un caso reportó enfermedad encefalopática como déficit (tabla 1) (5).

Tabla 1. Pacientes con enfermedad encefalopática persistente como secuela de toxicidad por litio.

Autor

Género edad

Secuelas persistentes

Factores precipitantes

Dosis, mg/día

Nivel plasmático mM/L

Signos neurológicos agudos

Lecamwasam et l. ( 13 )

71/mes

Enfermedad encefalopática con evidencia histológica de secuelas neurológicas

Toxicidad crónica por litio

1500 miligramos

0,88-0,99

Parkinsonismo, disfagia, disartria, deterioro de la movilidad, coma, temblor generalizado

El presente caso

56/mes

Encefalopatía prolongada
Enlentecimiento persistente de la actividad de fondo del EEG

Terapia de litio crónica

900 miligramos

2.8

Convulsiones, estado mental alterado

 

Nuestra paciente presentó inicialmente convulsiones y alteración del estado mental que pueden atribuirse a la toxicidad del litio y la uremia. Sin embargo, con la corrección de todos los problemas metabólicos, la encefalopatía de la paciente no mejoró. Esta encefalopatía persistente puede ser otra manifestación atípica de SILENT.

El litio se distribuye ampliamente en la mayoría de los tejidos corporales, pero con una tasa de distribución desigual entre los diferentes compartimentos tisulares. No sufre metabolismo hepático pero se elimina por vía renal. Su vida media varía según la edad y la función glomerular. La toxicidad por litio puede ocurrir con la ingesta excesiva o la excreción alterada que se observa con insuficiencia renal, dieta baja en sodio e insuficiencia cardíaca congestiva (3, 6, 7). En un análisis retrospectivo de 97 casos de intoxicación por litio durante un período de 13 años, se concluye que la neurotoxicidad es una enfermedad iatrogénica, que ocurre en pacientes que tienen factores de riesgo clínicos identificables: diabetes insípida nefrogénica, edad avanzada, función tiroidea anormal e insuficiencia renal (8). Algunos de estos fueron vistos como los mismos factores predisponentes en nuestro paciente.

La distribución del litio de la sangre al cerebro es más lenta en relación con su distribución a los riñones, los músculos y los huesos. En un estudio realizado en ratas albinas adultas no embarazadas que recibieron 5 mEq/kg de peso corporal de litio, el aumento más rápido en la concentración de litio se observó en el tejido renal, mientras que la concentración máxima de litio en el cerebro solo se alcanzó hasta aproximadamente 24 horas después de su administración. Se supone que esto se debe a su paso lento a través de la barrera hematoencefálica (9). De manera similar, el litio se elimina más lentamente del cerebro.

La toxicidad por litio puede diferenciarse en términos de la temporalidad de la exposición al litio. La aguda se observa en aquellos que toman una sobredosis de litio como en el suicidio, la crónica es cuando un paciente con litio de mantenimiento sufre una reducción en la función renal, y la aguda en crónica es cuando un paciente que se mantiene con litio de repente ingiere una gran cantidad de una sola vez (6, 10). El uso de litio a largo plazo se asocia con un mayor riesgo de pérdida de la función renal, lo que aumenta aún más los niveles séricos de litio (3, 7). Nuestra paciente presentó una función renal disminuida presumiblemente por la exposición crónica al litio y su hipertensión y diabetes de larga data. Esto disminuye aún más el aclaramiento de litio. La toxicidad por litio se manifiesta sistémicamente con síntomas gastrointestinales, cardíacos y renales.

Con mayor frecuencia, la toxicidad aguda produce inicialmente síntomas gastrointestinales como náuseas, vómitos y diarrea (6). Los pacientes que reciben tratamiento crónico con litio desarrollan toxicidad de forma gradual y, a menudo, se presentan con hallazgos neurológicos.

Los síntomas de toxicidad pueden clasificarse con niveles séricos variables de litio, leves (1,5-2,5 mEq/L) y moderados (2,5-3,5 mEq/L), y con manifestaciones graves del sistema nervioso central cuando los niveles superan los 3,5 mEq/L. Hansen y Amisden clasificaron la gravedad de la toxicidad según su presentación neurológica. La toxicidad leve se presenta con náuseas, vómitos, letargo, temblor y fatiga, mientras que la toxicidad moderada puede presentarse con confusión, agitación, delirio, taquicardia e hipotonía, y la toxicidad grave se presenta con coma, convulsiones, hipertermia e hipotensión (6, 10).

Como se requiere tiempo para que el litio penetre en el SNC, los efectos neurológicos del litio se desarrollan tardíamente en la intoxicación aguda por litio, pero se presentan con mayor frecuencia en la toxicidad crónica por litio. La duración de la exposición al litio se correlaciona con la incidencia y la gravedad de la neurotoxicidad por litio. La neurotoxicidad severa por litio ocurre casi exclusivamente en el contexto de la administración terapéutica crónica de litio (3). En el contexto de la exposición crónica al litio, el aumento de los niveles de litio ha iniciado la cascada de eventos que llevan a nuestro paciente a este estado encefalopático. Se supone que la desmielinización causada por el litio en múltiples sitios del sistema nervioso es la causa de SILENT (5).

No existe un consenso unificado sobre el nivel de litio que requiere el inicio de hemodiálisis en pacientes intoxicados con litio, y no se realizaron ensayos clínicos. Algunos estudios recomiendan iniciar la hemodiálisis a 2,5 mEq/L cuando un paciente muestra signos graves de toxicidad por litio o cuando hay una insuficiencia renal en curso que impide su excreción (11).

Nuestra paciente presenta síntomas de toxicidad grave por litio a pesar de que el nivel sérico de litio es de 2,8 mEq/L. Persistió incluso mucho después de que los niveles se normalizaron con hemodiálisis. El nivel absoluto de litio sérico o la cantidad de litio ingerido no se correlaciona con la gravedad de la toxicidad (12-15).


 

CONCLUSIÓN

SILENT es una secuela neurológica incapacitante pero prevenible de la toxicidad por litio. Puede dejar al paciente en un estado encefalopático persistente. No se puede dejar de enfatizar la vigilancia estrecha de los niveles de litio en aquellos que reciben tratamiento crónico con litio y la identificación de factores de riesgo de toxicidad. A pesar del conocimiento común de la toxicidad del litio, todavía ocurren casos raros como este que los médicos deben tener en cuenta. Las familias que cuidan a pacientes que toman litio deben ser educadas sobre el seguimiento atento y el reconocimiento de signos de toxicidad. La identificación de hallazgos imagenologicos a través de resonancia magnética nuclear de preferencia funcional aporta grandes datos a la correlacion clínico imagenologica (16-20). El presente caso es anecdótico pero resulta fascinante su descripción para poder orientar a los clínicos a la hora de enfrentar este tipo de fenómenos clínicos atípicos.

Aprobación ética

Este documento ha sido reconocido y revisado por el Instituto donde acudió la paciente y fue valorada.

Conflictos de interés

Los autores declaran no tener ningún conflicto de intereses.

REFERENCIAS BIBLIOGRÁFICAS

1.       Shah N., Grover S., Rao G. P. Clinical practice guidelines for management of bipolar disorder. Indian Journal of Psychiatry. 2017;59(5):51–66. doi: https://doi.org//10.4103/0019-5545.196974   

2.       Lee J., Swartz K. L. Bipolar I Disorder. Johns Hopskins Psychiatry Guide.

https://www.hopkinsguides.com/hopkin/view/Johns_Hopkins_Psychiatry_Guide/.787045/all/Bipolar_I_Disorder

3.       Ott M., Stegmayr B., Salander Renberg E., Werneke U. Lithium intoxication: incidence, clinical course and renal function - a population-based retrospective cohort study. Journal of Psychopharmacology. 2016;30(10):1008–1019. doi: https://doi.org//10.1177/0269881116652577  .  

4.       Shah V. C., Kayathi P., Singh G., Lippmann S. Enhance your understanding of lithium neurotoxicity. The Primary Care Companion For CNS Disorders. 2015;17(3) doi:

https://doi.org//10.4088/PCC.14l01767  

5.       Adityanjee, Munshi K. R., Thampy A. The syndrome of irreversible Lithium-effectuated neurotoxicity. Clinical Neuropharmacology. 2005;28(1):38–49. doi:

https://doi.org//10.1097/01.wnf.0000150871.52253.b7 .

6.       Hedya S. A., Swoboda H. D. Lithium Toxicity. StatPearls. Treasure Island, FL, USA: StatPearls Publishing; 2019.

7.       Bocchetta A., Ardau R., Fanni T., et al. Renal function during long-term lithium treatment: a cross-sectional and longitudinal study. BMC Medicine. 2015;13(1):p. 12. doi:

https://doi.org//10.1186/s12916-014-0249-4 .

8.       Oakley P. W., Whyte I. M., Carter G. L. Lithium toxicity: an iatrogenic problem in susceptible individuals. Australian & New Zealand Journal of Psychiatry. 2016;35(6):833–840. doi:

https://doi.org//10.1046/j.1440-1614.2001.00963.x .

9.       Schou M. Lithium Studies. 3. Distribution between serum and tissues. Acta Pharmacologica et Toxicologica. 1958;15(2):115–124. doi: https://doi.org//10.1111/j.1600-0773.1958.tb00290.x .

10.   Ivkovic A., Stern T. A. Lithium-induced neurotoxicity: clinical presentations, pathophysiology, and treatment. Psychosomatics. 2014;55(3):296–302. doi: https://doi.org//10.1016/j.psym.2013.11.007  

11.   Haussmann R., Bauer M., von Bonin S., Grof P., Lewitzka U. Treatment of lithium intoxication: facing the need for evidence. International Journal of Bipolar Disorders. 2015;3(1):p. 23. doi:

https://doi.org//10.1186/s40345-015-0040-2 .

12.   Hlaing P. M., Isoardi K. Z., Page C. B., Pillans P. Neurotoxicity in chronic lithium poisoning. Internal Medicine Journal. 2020;50(4):427–432. doi: https://doi.org//10.1111/imj.14402  

13.   Lecamwasam D., Synek B., Moyles K., Ghose K. Chronic lithium neurotoxicity presenting as Parkinson's disease. International Clinical Psychopharmacology. 1994;9(2):127–130. doi: https://doi.org//10.1097/00004850-199400920-00010

14.   Danielian LE Iwata NK Thomasson DM, et al.. Reliability of fiber tracking measurements in diffusion tensor imaging for longitudinal study. NeuroImage 2010;49(2):1572–1580.

15.   Hasan KM Kamali A Abid H, et al.. Quantification of the spatiotemporal microstructural organization of the human brain association, projection and commissural pathways across the lifespan using diffusion tensor tractography. Brain Struct Funct 2010;214(4):361–373.

16.   Lee HD, Jang SH. Injury of the corticoreticular pathway in patients with mild traumatic brain injury: a diffusion tensor tractography study. Brain Inj 2015;29(10):1219–1222.

17.   Malykhin N Concha L Seres P, et al.. Diffusion tensor imaging tractography and reliability analysis for limbic and paralimbic white matter tracts. Psychiatry Res 2008;164(2):132–142.

18.   Wang JY Abdi H Bakhadirov K, et al.. A comprehensive reliability assessment of quantitative diffusion tensor tractography. NeuroImage 2012;60(2):1127–1138.

19.   Brandstack N Kurki T Laalo J, et al.. Reproducibility of tract-based and region-of-interest DTI analysis of long association tracts. Clin Neuroradiol 2016;26(2):199–208.

20.   Shenton ME Hamoda HM Schneiderman JS, et al.. A review of magnetic resonance imaging and diffusion tensor imaging findings in mild traumatic brain injury. Brain Imaging Behav 2012;6(2):137–192.



[1] Autor principal

Correspondencia: Laritzap22@gmail.Com