DOI: https://doi.org/10.37811/cl_rcm.v8i1.9871

Fractura de Meseta Tibial en Paciente Masculino. Reporte de Caso

 

Md. Jhandry Rene Medina Pucha[1]

jhandrymedina98@gmail.com

https://orcid.org/0009-0008-2890-2651

Investigador Independiente

Loja, Ecuador

Md. Kevin Stalin Guerrero Nejer

keving389@gmail.com

https://orcid.org/0009-0007-0962-9955

Investigador Independiente

Ecuador

 

Md. Santiago Vinicio Calva Valverde

santiagoo6@outlook.es

https://orcid.org/0009-0002-8885-7289

Investigador Independiente

Loja, Ecuador

Md. Joseph Emmanuel Urdiales Herrera

ucojoseph@gmail.com

https://orcid.org/0009-0005-8982-2434

Hospital Básico de Pedernales

Manabí, Ecuador

 

Md. Víctor Hugo Mora Granda

vhmg1992@gmail.com

https://orcid.org/0000-0003-2689-7795

Hospital General Manuel Ygnacio Monteros, IESS

Loja, Ecuador

Md. John Roberto Camacho Muñoz

jorcamacho92@gmail.com

https://orcid.org/0009-0007-0487-7458

Hospital General Manuel Ygnacio Monteros, IESS

Ecuador

 

RESUMEN

Las fracturas de la meseta tibial representan el 1% de las fracturas musculoesqueléticas y el 8% de las fracturas en pacientes de edad avanzada y son un tipo común de lesión de las extremidades inferiores que se observa en personas con una distribución de edad bimodal. Estas lesiones suelen clasificarse mediante la clasificación de Schatzker, que evalúa el grado de desplazamiento de la fractura, el número de fragmentos óseos y la extensión de la lesión para determinar el tratamiento específico y predecir el pronóstico a largo plazo. Estas fracturas suelen estar asociadas con accidentes de vehículos de alta energía; también se presentan en adultos mayores con mecanismos de baja energía por caídas simples por osteoporosis. La mayor proporción de fracturas de meseta tibial se tratan quirúrgicamente, siguiendo el principio de restaurar la congruencia de la superficie articular y preservar el eje mecánico de la extremidad. Si hay daño meniscal, se complicará con artrosis postraumática. La incidencia es del 75% 10 años después de la cirugía. Si no hay daño meniscal, se puede reducir al 30%. Paciente masculino de 28 años que sufre accidente en motocicleta hace 7 días, acude por presentar edema leve en rodilla izquierda compatible con posible absceso, se acompañada de dolor de impotencia funcional del miembro inferior izquierdo, motivo por el cual acude a casa de salud más cercana.

 

Palabras claves: fractura de meseta tibial, absceso, edema, impotencia funcional


 

Tibial Plateau Fracture in a Male Patient. Case Report

 

ABSTRACT

Tibial plateau fractures account for 1% of musculoskeletal fractures and 8% of fractures in elderly patients and are a common type of lower extremity injury seen in people with a bimodal age distribution. These injuries are typically classified using the Schatzker classification, which evaluates the degree of fracture displacement, the number of bone fragments, and the extent of the injury to determine specific treatment and predict long-term prognosis. These fractures are typically associated with high-energy vehicle accidents; They also occur in older adults with low energy mechanisms due to simple falls due to osteoporosis. The largest proportion of tibial plateau fractures are treated surgically, following the principle of restoring congruity of the articular surface and preserving the mechanical axis of the limb. If there is meniscal damage, it will be complicated by post-traumatic osteoarthritis. The incidence is 75% 10 years after surgery. If there is no meniscal damage, it can be reduced to 30%. A 28-year-old male patient who suffered a motorcycle accident 7 days ago, presented with mild edema in the left knee compatible with a possible abscess, accompanied by pain of functional impotence of the left lower limb, which is why he went to the nearest healthcare home.

 

Keywords: tibial plateau fracture, abscess, edema, functional impotence

 

 

 

 

Artículo recibido 27 diciembre 2023

Aceptado para publicación: 30 enero 2024


 

INTRODUCCIÓN

La articulación de la rodilla es una articulación que soporta el peso del cuerpo, por lo que una fractura de la meseta tibial puede afectar su función y estabilidad. Las fracturas intraarticulares pueden provocar problemas de tratamiento, como dehiscencia de la herida, contaminación grave que conduce a una mala posición y complicaciones tardías como colapso en varo, fallo del implante y osteoartritis postraumática.(1,2) Las fracturas de la meseta tibial son comunes y ocurren a una tasa anual de 10,3. 100.000 habitantes, ocurre con mayor frecuencia en personas de entre 40 y 60 años y representa aproximadamente el 1% de todas las fracturas.(3)

La gravedad de la lesión, la posición de la extremidad en el momento de la lesión y la calidad del hueso determinan el tipo de fractura y la extensión del daño a los tejidos blandos. Muchas estructuras alrededor de la rodilla pueden estar en riesgo. Esto incluye los meniscos, los ligamentos colaterales y cruzados y los haces neurovasculares.(4) En estos casos, se debe tener mucho cuidado para identificar y diagnosticar estas lesiones, ya que pueden quedar enmascaradas por la lesión primaria (es decir, fractura). Por lo tanto, a veces se diagnostican durante la recuperación cuando los pacientes se quejan de otros síntomas que no se informaron antes de la cirugía.

Actualmente, el sistema de clasificación de Schatzker es el tipo más común y consta de 6 tipos; El tipo I es una separación simple de la meseta tibial lateral, el tipo II es una separación y hundimiento de la meseta tibial lateral y el tipo III es una fractura por compresión de la meseta tibial lateral o meseta central.(5,6) La articulación superficial se comprime y empuja hacia la metáfisis. mediante potencia axial. El tipo IV es una fractura o depresión del cóndilo medial de la tibia; El tipo V es una fractura bicondilar de la meseta tibial; El tipo VI es una fractura de meseta tibial con separación de la metáfisis y la diáfisis.(7)

Las fracturas de meseta tibial se asocian con complicaciones como síndrome compartimental, lesiones de tejidos blandos e infecciones durante el tratamiento, así como con inestabilidad a largo plazo de la rodilla, luxación articular residual después de la cirugía, que puede conducir al desarrollo de osteoartritis y pérdida de movilidad articular. La osteoartritis postraumática ocurre en del 9% al 44% de los pacientes con fracturas de meseta tibial. Esto puede ser causado por una lesión inicial de cartílago tibial.(8) Además, los cambios en el patrón de carga axial de la meseta tibial debido a la incoordinación articular pueden influir en el desarrollo de la osteoartritis. Con esto en mente, se prestó atención a la reconstrucción anatómica de la superficie articular, la restauración de la alineación axial y la fijación rígida para prevenir el desplazamiento secundario y permitir el movimiento temprano para prevenir la artrofibrosis y la osteoartritis. El tratamiento óptimo de las fracturas de meseta tibial sigue siendo controvertido.(9)

El tratamiento óptimo de las fracturas de la meseta tibial sigue siendo controvertido. La mayoría de los autores sugirieron algunos parámetros para mejorar los resultados (5). Alguna evidencia sugiere que los resultados a largo plazo dependen menos de la reducción de la fractura per se y más de la estabilidad de la rodilla.(10) Existe una gran cantidad de datos en la literatura ortopédica que comparan y contrastan los resultados después de las fracturas de la meseta tibial (1). De hecho, todavía hay pocos datos sobre los resultados a medio y largo plazo tras el tratamiento quirúrgico de estas fracturas utilizando estos criterios.(11)

Caso Clínico

EA:  Paciente de masculino de 28 años refiere que hace una semana sufre caída desde motocicleta, desde hace 3 días se evidencia dolor en rodilla izquierda el mismo que evoluciona a rigidez y edema leve con presencia de colección, absceso que provoca dolor e impotencia del miembro inferior con dolor Eva 9/10, se acompaña con inflamación alzas térmicas no cuantificas motivo por el cual acude a esta casa de salud.

Enfermedades médicas: No refiere

Antecedentes alérgicos: No refiere

Antecedentes quirúrgicos: No refiere

Antecedentes familiares: No refiere

Hábitos

§  Alimentación: 3 veces al día

§  Intolerancias alimenticias: ninguna

§  Catarsis: 2-3 vez al día

§  Diuresis: 2 veces al día

§  Sueño: 8 horas diarias, no reparador

Paciente ingresa al servicio de traumatología en donde realiza la exploración física pertinente, signos vitales: frecuencia cardiaca 110 latidos por minuto, saturación 98% con fio2 21%, tensión arterial 110/72 mmhg, frecuencia respiratoria de 19, temperatura de 38.5°C axilar.

Paciente álgico, febril, orientado en tiempo, espacio y persona con razonamiento lógico. Glasgow: 15/15.

Cabeza: normocéfalica, no protrusiones, no depresiones. Ojos: pupilas fotorreactivas, isocóricas, escleras blancas, conjuntivas rosadas. Nariz: fosas nasales permeables. Boca: mucosa oral húmedas. Labios: simétricos, hidratados. Encías: normales. Cuello: Simétrico, móvil, ingurgitación yugular, no se palpan adenopatías

Tórax: simétrico, latido apexiano no visible, respiración torácica, no hay dolor a la palpación, expansibilidad normal, elasticidad pulmonar normal. Palpación no doloroso a la palpación, no presencia de masas. Corazón R1 y R2 rítmicos. Pulmones: murmullo vesicular conservado, no ruidos sobreañadidos.

Abdomen: inspección: globoso, simétrico, no cicatrices, pústulas en fosa iliaca derecha auscultación ruidos hidroaéreos presentes. Palpación Suave, blanco, no doloroso a la palpación superficial ni profunda.

Región lumbar: inspección: Simétrica, de aspecto normal, color de piel acorde con el resto del cuerpo. Palpación: puño percusión negativo.

Extremidades superiores: todo y fuerza muscular conservada. Escala de Daniels 5/5.

Extremidades inferiores derecho: todo y fuerza muscular conservada. Escala de Daniels 5/5.

Extremidades inferiores izquierdo: todo y fuerza muscular disminuida. Escala de Daniels 4/5.

Presencia de edema con colección, absceso en rodilla, se evidencia inflamación, irritación, rojiza, caliente y dolorosa a la palpación superficial y profunda. Impotencia al examen físico y maniobras de movimiento, rigidez.

Evolución

Se realizan exámenes complementarios.


 

Tabla 1

Biometria hematica

Glóbulos Blancos

12.0 mm3

4400 – 11300

Neutrófilos

5.4 mm3

2000-8000

Linfocitos

3.6 mm3

1000-4400

Monocitos

97.3 mm3

80 - 880

Eosinófilos

96 mm3

80 – 440

Basófilos

25 mm3

0 – 110

Neutrófilos %

65.8 %

50.0 – 70.0

Monocitos %

6.0 %

2.0 – 11.0

Eosinófilos %

1.5 %

1.0 – 3.0

Basófilos %

0.5 %

0.0 – 2.0

Recuento De G. Rojos

4800 10/mm3

4000-5400

Hemoglobina

13.8 g/dL

12.0 – 15.00

Hematocrito

40.2 %

35.0 - 49.0

Volumen Corpuscular Medio

74.6 fL

76.0 – 95.0

Hb Corpuscular Medio

24.5 pg

26.0 – 32.00

Plaquetas

375 k/uL

130.0 – 400.0

 

Exámenes de imagen

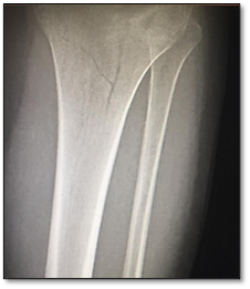
Radiografía de Rodilla izquierda (imagen 1)

Imagen 1. Fractura de fractura de la meseta tibial

Tomografía Computarizada de rodilla

Se TAC la cual reporta fractura de la meseta tibial lateral con extensión cortical posterior, siendo un patrón concordante con fractura de Schatzker tipo V.

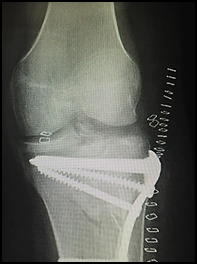
Radiografía de rodilla izquierda después de intervención quirúrgica (Imagen2)

Imagen 2. Fractura intervenida quirúrgicamente

Imagen que contiene ropa interior, hombre, vistiendo, camisa

Descripción generada automáticamente

Técnica Quirúrgica

Fracturas más complejas o con compromiso de la metáfisis como las tipo IV Y VI, se realiza anestesia general y se los coloca en decúbito dorsal en una camilla radio lúcida con la rodilla en 20° de flexión y un manguito neumático desinflado en la raíz del muslo. Realizamos campos quirúrgicos tomando desde la mitad del muslo hasta el pie y también la cresta iliaca. Primero se realiza una reducción percutánea más osteosíntesis transitoria con clavijas bajo control radioscópico. Una vez lograda una reducción aceptable, inflamos el manguito y comenzamos la fase artroscópica. Esta es de utilidad para valorar la reducción obtenida, corregirla si es necesario, como así también diagnosticar y tratar las lesiones asociadas. Si fuera necesario, en este momento se puede quebrar la camilla dejando la rodilla en 90°. La fijación la realizamos con la técnica MIPO, que consiste en la colocación de placas con tornillos por un abordaje mínimo (de aproximadamente 3 cm.) y la colocación de los tornillos, por vía percutánea.

DISCUSIÓN

El tratamiento de las fracturas complejas de la meseta tibial resultantes de un traumatismo de alta energía sigue siendo un desafío. Históricamente, el sistema de clasificación de Schatzker, basado en la evaluación radiográfica de los patrones de fractura, se ha utilizado ampliamente para guiar el tratamiento. La fijación rígida con una buena reducción articular es un paso quirúrgico importante para lograr una buena función de la rodilla, por lo que la reducción abierta y la fijación interna logran este objetivo. Una única incisión provoca una degradación perióstica y muscular extensa y puede impedir la reducción. Un corte doble funciona mejor que un corte único.(12,13)

El tratamiento óptimo de las fracturas de la meseta tibial sigue siendo difícil de alcanzar. Hoy en día, la gente presta atención no sólo al fortalecimiento de la meseta tibial, sino también a la protección de los tejidos blandos circundantes.(14) En cuanto a la prevención de lesiones de tejidos blandos, se realizaron operaciones de fase I y II y se propuso por primera vez una estrategia de tratamiento gradual para fracturas de alta energía, y se creyó que la fijación externa temporal temprana podría evitar lesiones articulares y el agravamiento de la fractura. tejidos blandos circundantes. lesión tisular. Se realizan reducción abierta y fijación interna hasta que se alivian los síntomas sistémicos y el daño local de los tejidos blandos y el paciente se encuentra en el estadio II. El uso de estas operaciones secuenciales puede reducir la incidencia de necrosis e infección de tejidos blandos y mejorar la tasa de éxito de la cirugía. En nuestro caso programamos cirugía porque nuestro paciente presentaba un edema importante, por lo que esperamos a la reducción secundaria del complejo, colocando un entrenador externo para el puente de rodilla, y al cabo de un tiempo realizamos el tratamiento fijo final.(15)

CONCLUSIÓN

Las fracturas de meseta tibial de Schacker tipo IV son difíciles de manejar y en algunos casos el impacto funcional es devastador, pero en nuestro caso el paciente logró una función satisfactoria con un rango de movimiento aceptable en flexión y extensión, por lo que concluimos que este tipo de fractura puede ser manejado en 2 fases quirúrgicas con fisioterapia adecuada, cuyo objetivo es fortalecer los músculos seguido de carga parcial y total.

REFERENCIAS BIBLIOGRÁFICAS

1.         Por P, Da :, Arce CP. Revisión Bibliográfica De La Incidencia Y Tipo De Lesiones Meniscales En Fracturas De Meseta Tibial Grado En Medicina Facultad De Medicina Y Ciencias De La Salud.

2.         Ibáñez M, Chahla J, Erquicia J, Simesen de Bielke H, Sasaki S, Svarzchtein S, et al. Hallazgos artroscópicos en partes blandas asociados a fracturas de la meseta tibial. Revista Española de Artroscopia y Cirugía Articular. 2021 Dec;28(4).

3.         Carrascosa EA, Navarro FC, Bautista López Martín J, Díaz Martínez FJ, Ojados Hernández C, Fernando J, et al. Fracturas de meseta tibial: valoración radiológica para una adecuada planificación quirúrgica. 2020.

4.         Holguín Rivas Karen Vanessa. Criterios Tomográficos De Fractura En Meseta Tibial Lateral. 2018.

5.         Olga Robledo Herrera D. www.medigraphic.org.mx Artículo original Abordaje posteromedial y colocación de placa en fractura de meseta tibial con fragmento posterior. Vol. 29, Acta Ortopédica Mexicana. 2015.

6.         Álvarez López A, Fuentes-Véjar R, Soto-Carrasco SR. Fijación externa en la fractura de meseta tibial tipo VI de Schatzker External fixation in Schatzker J´s type VI tibial plateau fracture. Arch méd Camagüey [Internet]. 2020; Available from: https://orcid.org/0000-0001-7815-3128

7.         Lenin G, Pineda U, Fernando C, Carvaja C, Napoleón L, Redín P. Revista Cubana de Reumatología ESTUDIO DE CASOS Tratamiento quirúrgico de fractura de meseta tibial Schatzker tipo VI: reporte de un caso y revisión de la literatura Surgical treatment of Schatzker tibial plateau fracture type VI: report of a case and review of the literature. Revista Cubana de Reumatología [Internet]. 2019; Available from:

http://dx.doi.org/10.5281/zenodo.3271803www.revreumatologia.sld.cu

8.         Aroca M, Cecilia D, Resines C. Tratamiento de las fracturas de meseta tibial mediante reducción abierta y fijación interna. Vol. 48, Revista de Ortopedia y Traumatologia. 2004. p. 267–71.

9.         Domínguez Gasca LG,  Magaña Reyes  Jorge,  Domínguez Carrillo LG. Fractura de estrés en meseta tibial medial. Acta Médica Grupo Ángeles. 2020;18(1):89–90.

10.      George Richard Sánchez Macías, María del Mar Sánchez Salazar, Ronny Alexander Muñoz Moreira. Predictores de artrosis postquirúrgica en fracturas de meseta tibial. Journal of American Health. 2021;

11.      González Tercero MF. Evaluación de las fracturas de la meseta tibial: Clasificación Schatzker. Revista Diversidad Científica. 2023 Sep 12;3(2):243–52.

12.      Rubio Ávila J, Público Descentralizado Cruz Verde Sur Las Águilas O, Dirección para correspondencia M, Rubio Ávila Av Carnero J, Arboledas F, Jalisco Z. www.medigraphic.org.mx

Fracturas por alta energía de las mesetas tibiales y sus lesiones asociadas [Internet]. 2013. Available from: http://www.medigraphic.com/orthotips

13.      Alfredo Nuila-Hernández H, El Mann-Arazi E, Salvador Juárez Rojas C. edigraphic.com Fracturas de la meseta tibial. Importancia de la clasificación para el diagnóstico, tratamiento y pronóstico. Vol. 15, Rev Mex Ortop Traum. 2001.

14.      Dr. Alejandro Álvarez López, Dra.Yenima García LorenzoII, Dr. Mario Gutiérrez BlancoIII, Dr. Daniel R. Montanchez Salamanc. Clasificación de Schatzker en las fracturas de la meseta tibial. 2010;

15.      Alejandro Álvarez-López C, Ricardo Soto-Carrasco S. Fracturas múltiples de la tibia: a propósito de un caso Multiple fractures of the tibia: a case report. Caso clínico Rev Arch Med Camagüey [Internet]. 23(4):2019. Available from: https://orcid.org/0000-0002-3327-4548

 



[1] Autor principal

Correspondencia: jhandrymedina98@gmail.com